11/Mar/2026
Cost of hematopoietic cell transplantation for hematologic malignancies from a transplant center in a developing country
DOI: 10.31744/einstein_journal/2026AO1834
Highlights ■ Costs compared across matched sibling donor, unrelated donor, and Haplo transplants. ■ A total of 177 patients with hematologic malignancies were analyzed. ■ Matched sibling donor transplants had the lowest 1-year costs. ■ Unrelated donor and Haplo transplants were significantly more expensive than matched sibling donor. ABSTRACT Objective: Hematopoietic cell transplantation is a resource-intensive procedure influenced by several cost drivers. The primary objective of this study was to compare the costs of matched-sibling (MSD), unrelated (URD), and haploidentical […]
Keywords: Blood donors; Costs and cost analysis; Hematopoietic stem cell transplantation; Siblings cyclophosphamide; Transplantation, haploidentical; Unrelated donors
11/Mar/2026
Assessment of medullary response through cellular immaturity parameters in patients undergoing hematopoietic stem cell transplantation
einstein (São Paulo). 11/Mar/2026;24(spe2):eAO1805.
View Article11/Mar/2026
Assessment of medullary response through cellular immaturity parameters in patients undergoing hematopoietic stem cell transplantation
DOI: 10.31744/einstein_journal/2026AO1805
Highlights ■ A-IPF can be used as a biomarker for platelet engraftment after hematopoietic stem cell transplantation. ■ IPF% and IRF% are not reliable biomarkers for bone marrow engraftment after hematopoietic stem cell transplantation. ■ IPF%, A-IPF, and IRF% do not support safe reduction of prophylactic platelet transfusions. ■ Cellular immaturity parameters lack standardized quality control measures for harmonization between clinical and research laboratories. ABSTRACT Objective: This study aimed to evaluate relative immature platelet fraction (IPF%), absolute immature platelet fraction […]
Keywords: Complete blood count; Hematopoietic stem cell transplantation; Platelet count; Reticulocyte count
10/Mar/2025
Validation of an ultra-high performance liquid chromatography/UV method to quantify busulfan in plasma: application to therapeutic drug monitoring
einstein (São Paulo). 10/Mar/2025;23:eAO0964.
View Article10/Mar/2025
Validation of an ultra-high performance liquid chromatography/UV method to quantify busulfan in plasma: application to therapeutic drug monitoring
DOI: 10.31744/einstein_journal/2025AO0964
Highlights ■ We validated the UHPLC/UV method for accurate busulfan quantification in plasma. ■ Inaccuracy and imprecision were below 15%, ensuring reliable therapeutic drug monitoring results. ■ This enables effective pharmacokinetic studies with rapid turnaround times in patient samples. ABSTRACT Objective: This study aimed to validate a sensitive, accurate, and precise bioanalytical ultrahigh- performance liquid chromatography coupled with ultraviolet (UHPLC/UV) method for the determination of busulfan in human plasma using 1,6-bis-(methanesulfonyloxy) hexane as an internal standard for therapeutic drug monitoring. […]
Keywords: Busulfan; Calibration; Chromatography, high pressure liquid; Drug monitoring; Hematopoietic stem cell transplantation; Hospital, public; Pharmacokinetics
25/Nov/2021
Brazilian Nutritional Consensus in Hematopoietic Stem Cell Transplantation: children and adolescents
DOI: 10.31744/einstein_journal/2021AE5254
ABSTRACT The Brazilian Nutritional Consensus in Hematopoietic Stem Cell Transplantation: Children and Adolescents was developed by dietitians, physicians, and pediatric hematologists from 10 Brazilian reference centers in hematopoietic stem cell transplantation. The aim was to emphasize the importance of nutritional status and body composition during treatment, as well as the main characteristics related to patient´s nutritional assessment. This consensus is intended to improve and standardize nutrition therapy during hematopoietic stem cell transplantation. The consensus was approved by the Brazilian Society […]
Keywords: Adolescent; Child; Hematopoietic stem cell transplantation; Nutrition assessment; Nutrition therapy; Nutritional status; Pediatrics
20/Oct/2021
Treatment of oral chronic graft-versus-host disease: a retrospective cohort study
DOI: 10.31744/einstein_journal/2021AO6177
ABSTRACT Objective The aim of this study was to evaluate patients with complete response of oral chronic graft-versus-host disease to immunosuppressive treatment. Methods A total of 29 patients submitted to allogeneic hematopoietic stem cell transplantation, with oral chronic graft-versus-host disease, were enrolled in this retrospective study, from September 2012 to February 2018. Patients were treated with combined topical dexamethasone solution and topical tacrolimus ointment, combined topical dexamethasone and topical tacrolimus, systemic immunosuppressive medication, and topical dexamethasone only. Results The mean […]
Keywords: Bone morrow transplantation; Dexamethasone; Graft vs host disease; Hematopoietic stem cell transplantation; Tacrolimus
13/Mar/2020
Brazilian Nutritional Consensus in Hematopoietic Stem Cell Transplantation: Graft- versus -host disease
DOI: 10.31744/einstein_journal/2020AE4799
ABSTRACT The Brazilian Consensus on Nutrition in Hematopoietic Stem Cell Transplantation: Graft- versus -host disease was approved by Sociedade Brasileira de Transplante de Medula Óssea , with the participation of 26 Brazilian hematopoietic stem cell transplantation centers. It describes the main nutritional protocols in cases of Graft- versus -host disease, the main complication of hematopoietic stem cell transplantation.
Keywords: Graft versus host disease; Hematopoietic stem cell transplantation; Nutrition
04/Feb/2020
Brazilian Nutritional Consensus in Hematopoietic Stem Cell Transplantation: Adults
DOI: 10.31744/einstein_journal/2020AE4530
ABSTRACT The nutritional status of patients submitted to hematopoietic stem cell transplant is considered an independent risk factor, which may influence on quality of life and tolerance to the proposed treatment. The impairment of nutritional status during hematopoietic stem cell transplant occurs mainly due to the adverse effects resulting from conditioning to which the patient is subjected. Therefore, adequate nutritional evaluation and follow-up during hematopoietic stem cell transplant are essential. To emphasize the importance of nutritional status and body composition […]
Keywords: Hematopoietic stem cell transplantation; Nutritional status; Nutritional therapy
23/May/2019
Brazilian Nutritional Consensus in Hematopoietic Stem Cell Transplantation: Elderly
DOI: 10.31744/einstein_journal/2019AE4340
ABSTRACT The Brazilian Nutritional Consensus in Hematopoietic Stem Cell Transplantation: Elderly was elaborated by nutritionists, nutrologists and hematologists physicians from 15 Brazilians reference centers in hematopoietic stem cell transplantation, in order to emphasize the importancy of nutritional status and the body composition during the treatment, as well as the main characteristics related to patient’s nutritional assessment. Establishing the consensus, we intended to improve and standardize the nutritional therapy during the hematopoietic stem cell transplantation. The Consensus was approved by the […]
Keywords: Aged; Hematopoietic stem cell transplantation; Nutrition assessment; Nutritional status
04/Jul/2018
Cardiovascular risk and use of conicity index in patients submitted to autologous hematopoietic stem cell transplantation
DOI: 10.1590/S1679-45082018AO4253
ABSTRACT Objective To analyze the prevalence of overweight and the use of conicity index for cardiovascular risk assessment in individuals submitted to autologous hematopoietic stem cell transplantation. Methods The sample comprised 91 patients of both sexes, who underwent autologous hematopoietic stem cell transplantation from September 2008 to December 2013, aged 18 years or over. To determine the nutritional profile, we collected anthropometric data on weight, height, waist circumference upon hospital admission. The body mass index and the conicity index were […]
Keywords: abdominal; autologous; Body mass index; Cardiovascular diseases; Hematopoietic stem cell transplantation; Obesity; Transplantation; Waist circumference
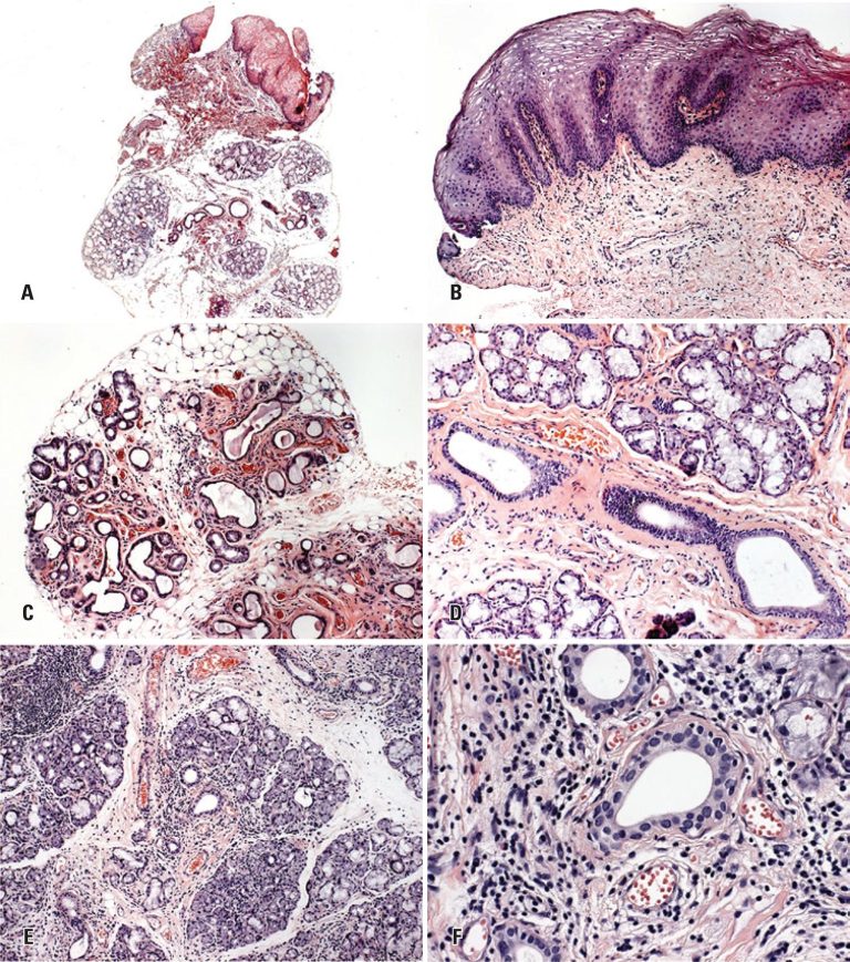
01/Apr/2014
Histopathologic diagnosis of chronic graft-versus-host disease of the oral mucosa according to the National Institutes of Health Consensus
DOI: 10.1590/S1679-45082014AO2974
Objective To validate the minimal criteria of the histopathologic diagnosis of oral chronic graft-versus-host disease, based on the histopathologic classification of the National Institutes of Health and correlate them with clinical features. Methods Forty-one specimens containing both oral mucosa and salivary glands were analyzed in slides stained with hematoxylin-eosin. The histological specimens were blindly examined by two trained pathologists using criteria recommended for the histopathologic diagnosis of chronic graft-versus-host disease proposed by the National Institutes of Health Consensus. The clinical […]
Keywords: Graft vs host disease/pathology; Hematopoietic stem cell transplantation; Mouth mucosa/pathology; Salivary glands/pathology
