11/mar/2026
Assessment of medullary response through cellular immaturity parameters in patients undergoing hematopoietic stem cell transplantation
einstein (São Paulo). 11/mar/2026;24(spe2):eAO1805.
Ver Artigo11/mar/2026
Assessment of medullary response through cellular immaturity parameters in patients undergoing hematopoietic stem cell transplantation
DOI: 10.31744/einstein_journal/2026AO1805
Highlights ■ A-IPF can be used as a biomarker for platelet engraftment after hematopoietic stem cell transplantation. ■ IPF% and IRF% are not reliable biomarkers for bone marrow engraftment after hematopoietic stem cell transplantation. ■ IPF%, A-IPF, and IRF% do not support safe reduction of prophylactic platelet transfusions. ■ Cellular immaturity parameters lack standardized quality control measures for harmonization between clinical and research laboratories. ABSTRACT Objective: This study aimed to evaluate relative immature platelet fraction (IPF%), absolute immature platelet fraction […]
Palavras-chave: Complete blood count; Transplante de células-tronco hematopoiéticas; Contagem de plaquetas; Reticulocyte count
11/mar/2026
Cost of hematopoietic cell transplantation for hematologic malignancies from a transplant center in a developing country
DOI: 10.31744/einstein_journal/2026AO1834
Highlights ■ Costs compared across matched sibling donor, unrelated donor, and Haplo transplants. ■ A total of 177 patients with hematologic malignancies were analyzed. ■ Matched sibling donor transplants had the lowest 1-year costs. ■ Unrelated donor and Haplo transplants were significantly more expensive than matched sibling donor. ABSTRACT Objective: Hematopoietic cell transplantation is a resource-intensive procedure influenced by several cost drivers. The primary objective of this study was to compare the costs of matched-sibling (MSD), unrelated (URD), and haploidentical […]
Palavras-chave: Blood donors; Custos e análise de custo; Transplante de células-tronco hematopoiéticas; Siblings cyclophosphamide; Transplantation, haploidentical; Unrelated donors
10/mar/2025
Validation of an ultra-high performance liquid chromatography/UV method to quantify busulfan in plasma: application to therapeutic drug monitoring
einstein (São Paulo). 10/mar/2025;23:eAO0964.
Ver Artigo10/mar/2025
Validation of an ultra-high performance liquid chromatography/UV method to quantify busulfan in plasma: application to therapeutic drug monitoring
DOI: 10.31744/einstein_journal/2025AO0964
Highlights ■ We validated the UHPLC/UV method for accurate busulfan quantification in plasma. ■ Inaccuracy and imprecision were below 15%, ensuring reliable therapeutic drug monitoring results. ■ This enables effective pharmacokinetic studies with rapid turnaround times in patient samples. ABSTRACT Objective: This study aimed to validate a sensitive, accurate, and precise bioanalytical ultrahigh- performance liquid chromatography coupled with ultraviolet (UHPLC/UV) method for the determination of busulfan in human plasma using 1,6-bis-(methanesulfonyloxy) hexane as an internal standard for therapeutic drug monitoring. […]
Palavras-chave: Busulfan; Calibration; Cromatografia líquida de alta pressão; Drug monitoring; Transplante de células-tronco hematopoiéticas; Hospitais privados; Farmacocinética
20/out/2021
Tratamento da doença do enxerto contra hospedeiro crônica oral: um estudo de coorte retrospectivo
DOI: 10.31744/einstein_journal/2021AO6177
RESUMO Objetivo Avaliar os pacientes com resposta completa da doença do enxerto contra hospedeiro crônica oral ao tratamento com imunossupressor. Métodos Vinte e nove pacientes submetidos ao transplante alogênico de células tronco hematopoiéticas, com doença do enxerto contra hospedeiro crônica oral, foram incluídos neste estudo retrospectivo, de setembro de 2012 a fevereiro de 2018. Os pacientes foram tratados com dexametasona para bochecho associada ao tacrolimo pomada, dexametasona para bochecho associada ao tacrolimo tópico, tratamento imunossupressor sistêmico, e dexametasona tópica apenas. […]
Palavras-chave: Dexametasona; Doença do enxerto-hospedeiro; Tacrolimo; Transplante de células-tronco hematopoiéticas; Transplante de medula óssea
04/fev/2020
Consenso Brasileiro de Nutrição em Transplante de Células-Tronco Hematopoiéticas: Adultos
DOI: 10.31744/einstein_journal/2020AE4530
RESUMO O estado nutricional do paciente submetido ao transplante de células-tronco hematopoéticas é considerado fator de risco independente, podendo influenciar na qualidade de vida e na tolerância ao tratamento proposto. O comprometimento do estado nutricional durante o transplante de células-tronco hematopoéticas ocorre principalmente devido aos efeitos adversos decorrentes do condicionamento ao qual o paciente é submetido. Desta forma, a adequada avaliação nutricional e o acompanhamento durante o transplante de células-tronco hematopoéticas tornam-se imprescindíveis. Com o objetivo de salientar a importância […]
Palavras-chave: Estado nutricional; Terapia nutricional; Transplante de células-tronco hematopoiéticas
04/jul/2018
Risco cardiovascular e uso do índice de conicidade em pacientes submetidos ao transplante autólogo de células-tronco hematopoiéticas
einstein (São Paulo). 04/jul/2018;16(2):eAO4253.
Ver Artigo04/jul/2018
Risco cardiovascular e uso do índice de conicidade em pacientes submetidos ao transplante autólogo de células-tronco hematopoiéticas
DOI: 10.1590/S1679-45082018AO4253
RESUMO Objetivo Analisar a prevalência de excesso de peso e a utilização do índice de conicidade para a avaliação do risco cardiovascular em indivíduos submetidos ao transplante autólogo de células-tronco hematopoiéticas. Métodos A amostra foi composta por 91 pacientes, de ambos os sexos, submetidos ao transplante autólogo de células-tronco hematopoiéticas, de setembro de 2008 a dezembro de 2013, com idade igual ou superior a 18 anos. Para traçar o perfil nutricional, foram coletados dados antropométricos, como peso, altura e circunferência […]
Palavras-chave: Circunferência da cintura; Doenças cardiovasculares; Índice de massa corporal; Obesidade abdominal; Transplante autólogo; Transplante de células-tronco hematopoiéticas
01/abr/2014
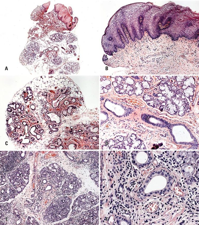
Diagnóstico histopatológico da doença do enxerto contra hospedeiro crônica da mucosa oral conforme Consenso do National Institutes of Health
DOI: 10.1590/S1679-45082014AO2974
Objetivo Validar os critérios mínimos de diagnóstico histopatológico da doença do enxerto contra hospedeiro crônica oral, com base em critérios de classificação do National Institutes of Health, e correlacioná-los com as características clínicas. Métodos Quarenta e um espécimes contendo mucosa oral e glândulas salivares foram analisados em lâminas coradas por hematoxilina-eosina. Os espécimes histológicos foram avaliados de forma cega, por dois patologistas calibrados, utilizando os critérios recomendados para diagnóstico histopatológico de doença do enxerto contra hospedeiro crônica propostos pelo Consenso […]
Palavras-chave: Doença enxerto-hospedeiro/patologia; Glândulas salivares/patologia; Mucosa bucal/ patologia; Transplante de células-tronco hematopoiéticas
01/abr/2011
Tratamento atual da anemia aplástica adquirida grave
einstein (São Paulo). 01/abr/2011;9(2 Pt 1):229-35.
Ver Artigo01/abr/2011
Tratamento atual da anemia aplástica adquirida grave
DOI: 10.1590/S1679-45082011RW2156
RESUMO A sobrevida em pacientes com grave anemia aplástica melhorou muito nas últimas quatro décadas. Isso se deve a progressos no transplante de células hematopoiéticas, terapias imunossupressoras e terapia de suporte. O tratamento padrão imunossupressivo é o uso de ciclosporina mais globulina antitimocítica de soro de cavalo, terapêutica que é frequentemente a inicial, pois a maior parte dos pacientes não dispõe de parente HLA compatível para transplante de células hematopoiéticas relacionadas. Com esse esquema, remissões são obtidas em 60 a […]
Palavras-chave: Agentes imunossupressores/uso terapêutico; Anemia aplástica/diagnóstico; Anemia aplástica/quimioterapia; Transplante de células-tronco hematopoiéticas
