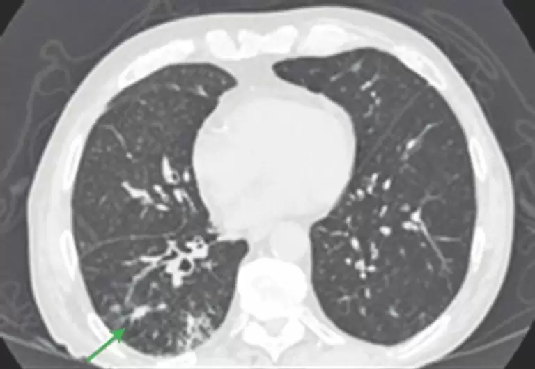
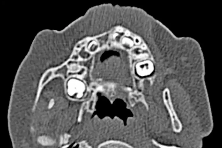
RESUMO A atrofia muscular bulboespinhal ligada ao cromossomo X (doença de Kennedy) é uma rara doença de neurônio motor inferior, recessiva, ligada ao X, e caracterizada por fraqueza, atrofia e fasciculações da musculatura apendicular e bulbar. É causada por uma expansão da repetição CAG no gene do receptor de androgênio. Pacientes com doença de Kennedy apresentam mais de 39 repetições CAG. O paciente deste relato era do sexo masculino, 57 anos, morador de Monte Dourado (PA, Brasil), com queixa de […]