einstein (São Paulo). 15/jun/2018;16(2):eRC4030.
Pneumonite induzida por imunoterapia antineoplásica: relato de casos
DOI: 10.1590/S1679-45082018RC4030
RESUMO
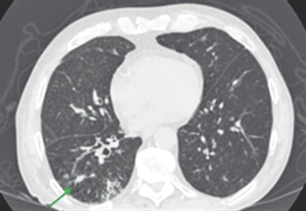
A pneumonite secundária à imunoterapia é uma complicação rara, com incidência estimada em cerca de 3%. No entanto, trata-se de uma intercorrência de difícil diagnóstico e com grande morbidade, que tem se tornado um desafio para oncologistas e emergencistas. Foram revisados os casos de cinco pacientes que fizeram uso de anti-PD1 (program cell death receptor antagonist 1) para tratamento antineoplásico e que evoluíram com quadro de pneumonite induzida pelo tratamento. Todos os pacientes apresentaram sintomas respiratórios em vigência de tratamento, com imunoterapia e presença de alteração radiológica em vidro fosco. Dentre estes pacientes, apenas um apresentou pneumonite grau 5, com atraso na introdução de corticoidoterapia, indo a óbito em decorrência do quadro. Os outros quatro pacientes apresentaram pneumonite grau 2, sintomática, sendo tratados com corticoidoterapia e evoluindo com melhora clínica e radiológica. Dois pacientes mantiveram o tratamento após o episódio de pneumonite, sem novas complicações pulmonares posteriores, até o momento. A pneumonite induzida por imunoterapia, apesar de ser um evento pouco frequente, pode acarretar grande morbidade, além de ser potencialmente fatal, cabendo à equipe médica ter atenção aos sintomas mais comuns, como tosse e dispneia, para diagnóstico precoce e tratamento efetivo, com uso precoce de corticoide.
5.504

