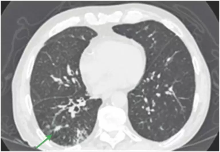
ABSTRACT The X-linked spinal and bulbar muscular atrophy (Kennedy’s disease) is a rare X-linked, recessive, lower motor neuron disease, characterized by weakness, atrophy, and fasciculations of the appendicular and bulbar muscle. The disease is caused by an expansion of the CAG repetition in the androgen receptor gene. Patients with Kennedy’s disease have more than 39 CAG repetitions. We report a case of 57-year-old man, resident of Monte Dourado (PA, Brazil) who complained of brachiocrural paresis evolving for 3 years along […]