einstein (São Paulo). 01/abr/2014;12(2):204-10.
Diagnóstico histopatológico da doença do enxerto contra hospedeiro crônica da mucosa oral conforme Consenso do National Institutes of Health
DOI: 10.1590/S1679-45082014AO2974
Objetivo
Validar os critérios mínimos de diagnóstico histopatológico da doença do enxerto contra hospedeiro crônica oral, com base em critérios de classificação do National Institutes of Health, e correlacioná-los com as características clínicas.
Métodos
Quarenta e um espécimes contendo mucosa oral e glândulas salivares foram analisados em lâminas coradas por hematoxilina-eosina. Os espécimes histológicos foram avaliados de forma cega, por dois patologistas calibrados, utilizando os critérios recomendados para diagnóstico histopatológico de doença do enxerto contra hospedeiro crônica propostos pelo Consenso do National Institutes of Health. A classificação clínica da doença do enxerto contra hospedeiro crônica foi correlacionada após a análise das lâminas.
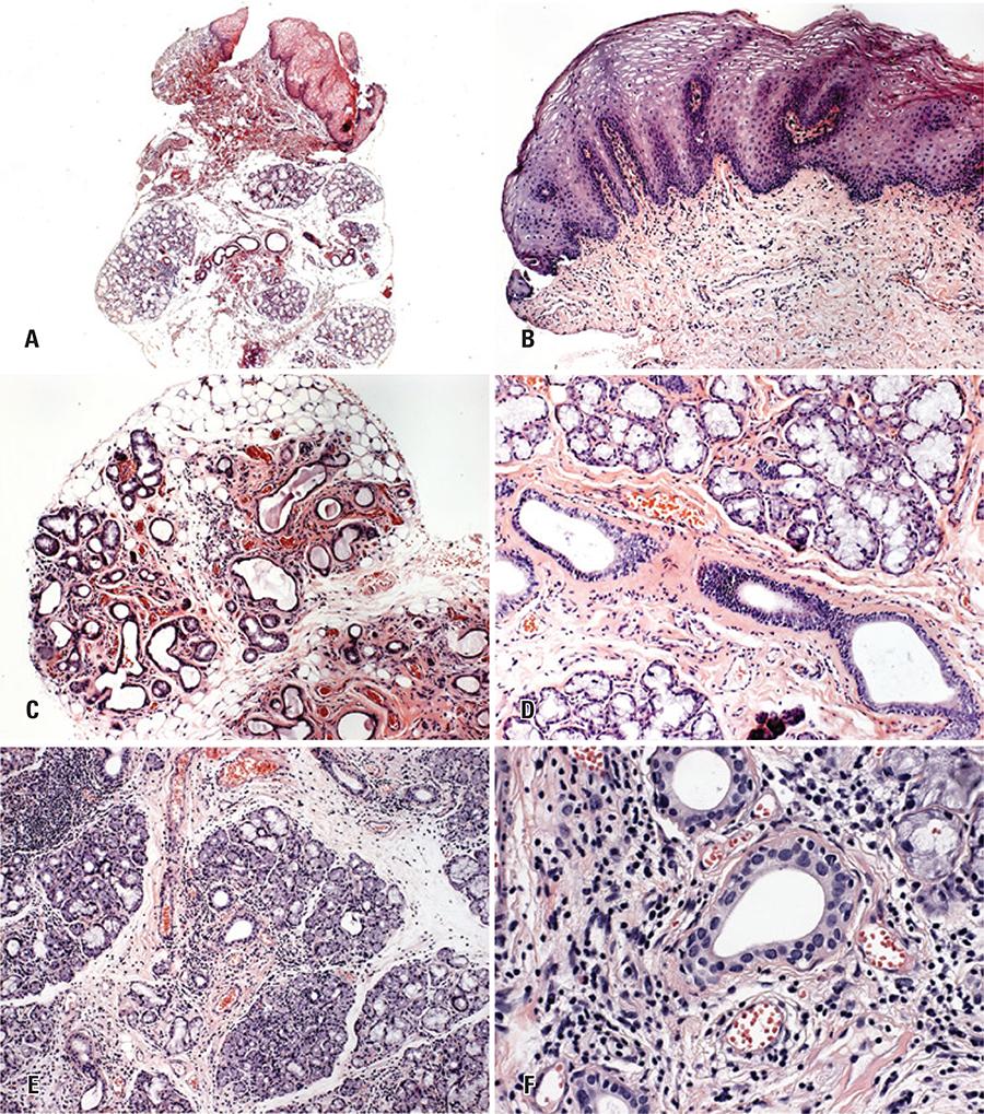
Resultados
Nossos resultados mostraram que o epitélio estava comprometido em 39/41 espécimes, apresentando acantose (29/70,7%), exocitose de linfócitos (29/70,7%), espessamento da lâmina basal (29/70,7%) e apoptose (15/36,6%). O tecido conjuntivo apresentou infiltrado inflamatório intersticial em 38 (92,7%) casos. Nas glândulas salivares menores, observaram-se fibrose periductal (38/92,7%), infiltrado inflamatório periductal misto (32/78%), ectasia ductal (30/73,2%), linfócitos em torno e migrando para dentro dos ácinos (30/73,2%), e fibrose intersticial (29/70,7%). As manifestações clínicas mais comuns foram mucosa de aspecto liquenoide (40/97,6%), queixa de sensibilidade bucal ao se alimentar (38/92,7%), e sensação de boca seca (36/87,8%).
Conclusão
Os critérios mínimos para o diagnóstico histopatológico da doença do enxerto contra hospedeiro crônica oral, com base no Consenso do National Institutes of Health, foram validados neste estudo, e não houve correlação entre a gravidade das manifestações clínicas e a gravidade das características histopatológicas.
352

