einstein (São Paulo). 01/Apr/2014;12(2):204-10.
Histopathologic diagnosis of chronic graft-versus-host disease of the oral mucosa according to the National Institutes of Health Consensus
DOI: 10.1590/S1679-45082014AO2974
Objective
To validate the minimal criteria of the histopathologic diagnosis of oral chronic graft-versus-host disease, based on the histopathologic classification of the National Institutes of Health and correlate them with clinical features.
Methods
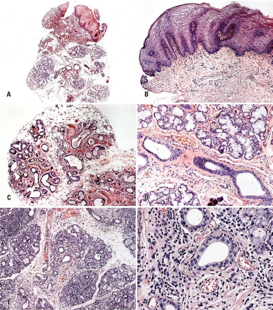
Forty-one specimens containing both oral mucosa and salivary glands were analyzed in slides stained with hematoxylin-eosin. The histological specimens were blindly examined by two trained pathologists using criteria recommended for the histopathologic diagnosis of chronic graft-versus-host disease proposed by the National Institutes of Health Consensus. The clinical classification of chronic graft-versus-host disease was correlated with analysis of slides. Results: Our data showed that the epithelium was involved in 39/41 specimens, presenting acanthosis (29/70.7%), exocytosis of lymphocytes (29/70.7%), thickening of basal lamina (29/70.7%), and apoptosis (15/36.6%). Connective tissue presented interstitial inflammatory infiltrate (38/92.7%). Minor salivary glands showed periductal fibrosis (38/92.7%), mixed periductal inflammatory infiltrate (32/78%), ductal ectasia (30/73.2%), lymphocytes around and into acinar units (30/73.2%), and interstitial fibrosis (29/70.7%). The most common clinical manifestations were lichenoid aspect (40/97.6%), complaints of sensitivity to oral feeding (38/92.7%), and dry mouth sensation (36/87.8%).
Conclusion
This study validated the National Institutes of Health Consensus of minimal histologic criteria for diagnosis of oral chronic graft-versus-host disease and has not found an association between the severity of clinical manifestation and the histopathological stage.
349

