einstein (São Paulo). 01/Oct/2015;13(4):567-73.
Histological analysis of the repair of dural lesions with silicone mesh in rats subjected to experimental lesions
DOI: 10.1590/S1679-45082015AO3378
ABSTRACT
Objective
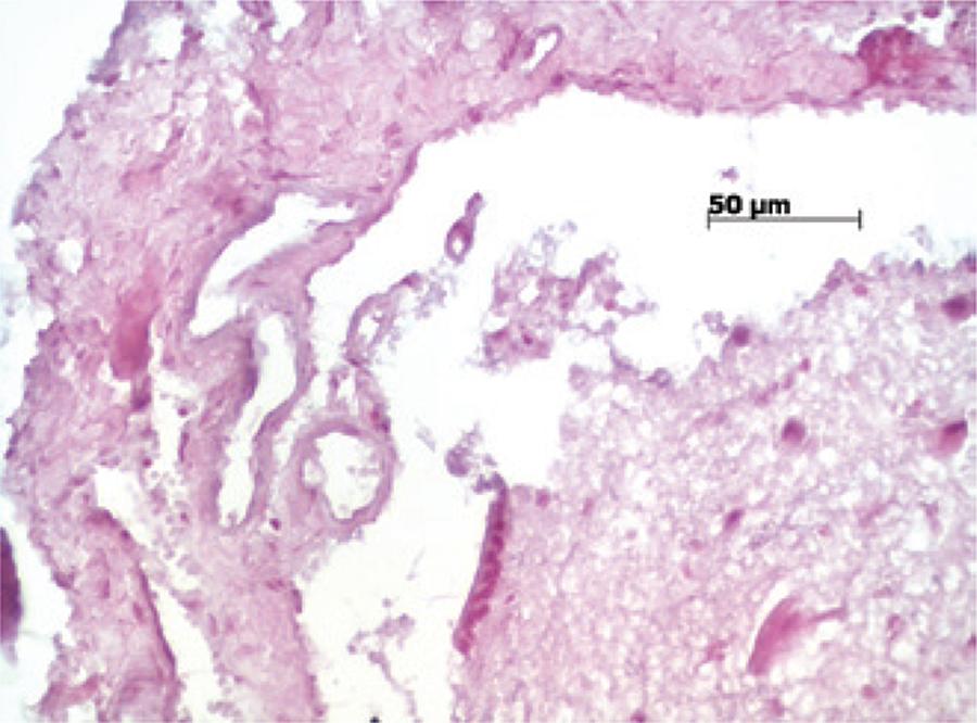
To evaluate inflammatory reaction, fibrosis and neovascularization in dural repairs in Wistar rats using four techniques: simple suture, bovine collagen membrane, silicon mesh and silicon mesh with suture.
Methods
Thirty Wistar rats were randomized in five groups: the first was the control group, submitted to dural tear only. The others underwent durotomy and simple suture, bovine collagen membrane, silicon mesh and silicon mesh with suture. Animals were euthanized and the spine was submitted to histological evaluation with a score system (ranging from zero to 3) for inflammation, neovascularization and fibrosis.
Results
Fibrosis was significantly different between simple suture and silicon mesh (p=0.005) and between simple suture and mesh with suture (p=0.015), showing that fibrosis is more intense when a foreign body is used in the repair. Bovine membrane was significantly different from mesh plus suture (p=0.011) regarding vascularization. Inflammation was significantly different between simple suture and bovine collagen membrane.
Conclusion
Silicon mesh, compared to other commercial products available, is a possible alternative for dural repair. More studies are necessary to confirm these findings.
248

