einstein (São Paulo). 13/May/2019;17(2):eRC4624.
Oral squamous papilloma: a view under clinical, fluorescence and histopathological aspects
DOI: 10.31744/einstein_journal/2019RC4624
ABSTRACT
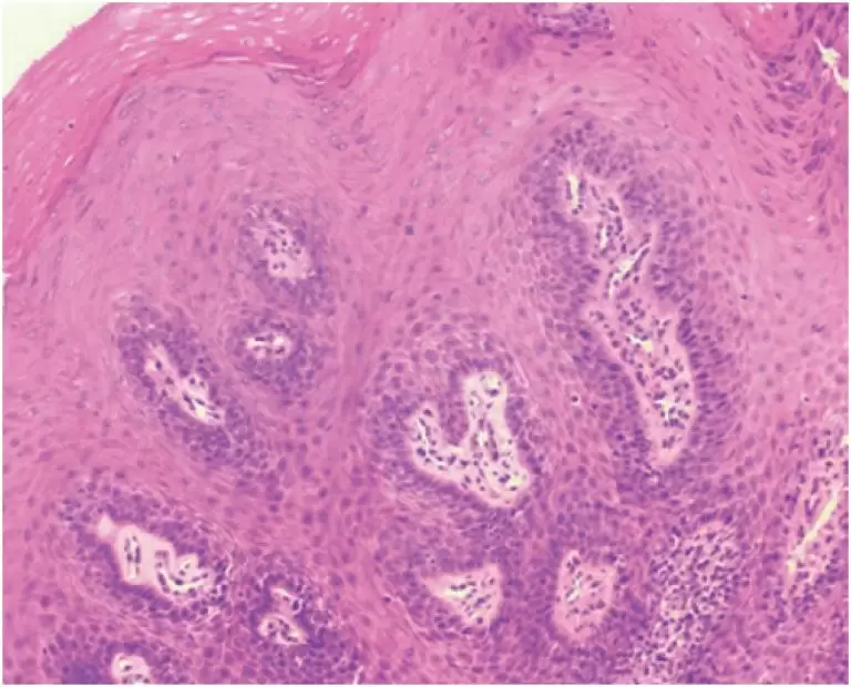
Oral squamous papilloma is a benign tumor whose pathogenesis has been associated with human papillomavirus infection. Thus, it is noteworthy that human papillomavirus infection is one of the risk factors associated with the development of cervical, anogenital, pharynx, larynx and oral cavity carcinomas. Oral squamous papilloma can affect any region of the oral cavity, and transmission of human papillomavirus can occur by direct contact, sexual intercourse or from mother to child during delivery. The diagnosis is clinical and histopathological, with surgical removal representing the treatment of choice. Recently, widefield optical fluorescence has been used as a complementary examination to the conventional clinical examination in the screening of oral pathological lesions and for the delimitation of surgical margins. We report a case of oral squamous papilloma with its clinical, histopathological features and, in addition, from the perspective of wide field optical fluorescence.
25,902

