04/May/2026
Lymphatic malformations: formerly known as lymphangiomas. A rare case of two breast masses in different locations mimicking breast carcinomas
einstein (São Paulo). 04/May/2026;24:eRC2042.
View Article04/May/2026
Lymphatic malformations: formerly known as lymphangiomas. A rare case of two breast masses in different locations mimicking breast carcinomas
DOI: 10.31744/einstein_journal/2026RC2042
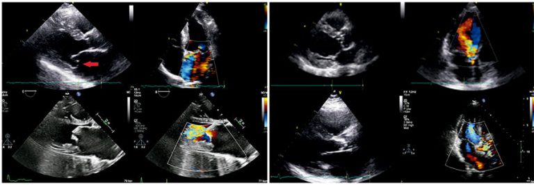
ABSTRACT Lymphatic malformations are benign disorders of the lymphatic system and represent a rare diagnosis in adulthood, particularly when involving the breast. This report describes the case of a 64-year-old patient referred to our service with two suspicious masses located in different areas of right breast. Imaging studies reinforced the suspicion of malignancy, and further investigation was conducted with an ultrasound-guided core needle biopsy, which confirmed the diagnosis of lymphatic malformation. As illustrated in this report, although lymphatic malformation may […]
Keywords: Breast diseases; Lymphatic abnormalities; Lymphatic system; Magnetic resonance spectroscopy; Ultrasonography
17/Dec/2025
Proposing the ValvUS approach: integrating bedside tests and ultrasonography for severe valvular heart disease diagnosis
DOI: 10.31744/einstein_journal/2026RW1487
ABSTRACT Valvular heart disease is increasingly prevalent, and bedside confirmation or exclusion of severe disease is needed to enable a rapid and cost-effective diagnostic workup. The physical examination skills of clinicians are insufficient for accurate diagnosis, making complementary tests generally necessary. Despite being commonly requested, electrocardiography and chest radiography present low positive and negative likelihood ratios. Incipient studies involving artificial intelligence have shown promising opportunities to support the diagnosis. In addition, solid current evidence demonstrates that point-of-care ultrasound enhances bedside […]
Keywords: Aortic valve disease; Heart valve diseases; Mitral valve; Physical examination; Point-of-care systems; Point-of-care testing; Ultrasonography
26/Nov/2024
APENDIC-RADS: an ultrasound reporting system for the diagnosis of acute appendicitis
DOI: 10.31744/einstein_journal/2024AO1164
Highlights ■ Imaging plays a fundamental role in the diagnosis of acute appendicitis. ■ The study highlights ultrasound’s effectiveness in diagnosing appendicitis. ■ APPENDIC-RADS efficiently standardizes the ultrasound evaluation of appendicitis. ■ Using APPENDIC-RADS may enhance communication and optimize medical practices. ABSTRACT Objective: Abdominal ultrasonography is widely used to evaluate suspected cases of appendicitis. Objective descriptions of the direct and indirect signs of appendicitis result in varied assessments of its likelihood. This study introduces the Appendix Imaging Reporting and Data […]
Keywords: Appendicitis; Emergency medicine; Interdisciplinary communication; Ultrasonography
21/Nov/2024
Point-of-care ultrasonography for diagnosis of purulent pericarditis postappendectomy: a case report
DOI: 10.31744/einstein_journal/2024RC0962
ABSTRACT Purulent pericarditis is rare condition in the modern era of antibiotics. However, it is a serious condition as it has an accelerated progression and is difficult to diagnose due to its nonspecific clinical presentation, resulting in high mortality. Herein, we present a case in which a 36-year-old male patient with otherwise unremarkable medical history developed abdominal sepsis complicated by purulent pericarditis post-appendectomy. While the initial clinical presentation was not compatible with the classic signs of purulent pericarditis, the diagnosis […]
Keywords: Appendectomy; Critical care; Pericardial effusion; Pericarditis; Suppuration; Ultrasonography
20/May/2024
Lessons from the pandemic and the value of a structured system of ultrasonographic findings in the diagnosis of COVID-19 pulmonary manifestations
einstein (São Paulo). 20/May/2024;22:eAE0780.
View Article20/May/2024
Lessons from the pandemic and the value of a structured system of ultrasonographic findings in the diagnosis of COVID-19 pulmonary manifestations
DOI: 10.31744/einstein_journal/2024AE0780
Highlights Lung ultrasound enables precise diagnosis and ongoing monitoring of the disease. Ultrasound is an effective tool for assessing pulmonary findings in COVID-19. Structured reports enhance communication and are easily reproducible. ABSTRACT Objective: We aimed to share our experience in implementing a structured system for COVID-19 lung findings, elucidating key aspects of the lung ultrasound score to facilitate its standardized clinical use beyond the pandemic scenario. Methods: Using a scoring system to classify the extent of lung involvement, we retrospectively […]
Keywords: Clinical decision-making; Coronavirus infections; COVID-19; Lung disease; Organ dysfunction; SARS-CoV-2; Ultrasonography
09/Nov/2022
Sonographic signs of deep infiltrative endometriosis among women submitted to routine transvaginal sonography: clinical and imaging aspects
DOI: 10.31744/einstein_journal/2022AO0086
ABSTRACT Objective To evaluate the prevalence of sonographic signs suggestive of deep infiltrative endometriosis and endometriomas in patients referred for transvaginal sonography as part of a routine annual gynecological evaluation. We also describe the clinical and imaging aspects associated with the incidental findings of endometriosis. Methods This was a retrospective observational study including women (n=339; aged 18-56 years) referred for transvaginal sonography as part of a routine gynecological evaluation (without clinical suspicion of endometriosis). Patients were asked about their symptoms. […]
Keywords: Endometrial neoplasms; Endometriosis; Prevalence; Ultrasonography
28/Jun/2022
Ultrasonographic evaluation of cecal appendix diameter in pediatric population
DOI: 10.31744/einstein_journal/2022AO6935
ABSTRACT Objective To stratify ultrasound samples in a pediatric population undergoing evaluation for acute appendicitis to examine the variability in cecal appendix diameter, in different age groups, and to determine whether there is a prevalent value for each age group. Methods A retrospective cross-sectional study with 196 children aged 0 to 15 years. Data were extracted from reports of ultrasound examinations carried out between 2008 and 2015. Children with sonographic diagnosis of appendicitis or other signs of periappendiceal inflammation were […]
Keywords: Appendicitis/diagnostic imaging; Appendix; Child; Ultrasonography
06/May/2022
Ultrasound classification of thyroid nodules: does size matter?
DOI: 10.31744/einstein_journal/2022AO6747
ABSTRACT Objective To determine whether the size of thyroid nodules in ACR-TIRADS ultrasound categories 3 and 4 is correlated with the Bethesda cytopathology classification. Methods Thyroid nodules (566) subclassified as ACR-TIRADS 3 or 4 were divided into three size categories according to American Thyroid Association guidelines. The frequency of different Bethesda categories in each size range within ACR-TIRADS 3 and 4 classifications was analyzed. Results Most nodules in both ACR-TIRADS classifications fell in the Bethesda 2 category, regardless of size […]
Keywords: ACR-TIRADS; Bethesda; Malignance; Thyroid gland nodule; Thyroid gland/pathology; Ultrasonography
07/Apr/2022
Testicular volume and Tanner stage: determinant factors for testicular torsion
DOI: 10.31744/einstein_journal/2022AO6605
ABSTRACT Objective To assess testicular volumes and sexual maturation in patients with testicular torsion. Methods A retrospective analysis of consecutively treated patients with testicular torsion between 2016 and 2018. Age, pubic hair staging (Tanner), and by ultrasonography, volume of the unaffected testis (in cubic centimeters) were evaluated either immediately before surgery or at the first postoperative visit. Patients with previous testicular disease, such as cryptorchidism, or with no records of testicular volume were excluded. The analysis included descriptive statistics and […]
Keywords: Ischemia; Sexual maturation; Spermatic cord torsion; Testis/diagnostic imaging; Testis/growth & development; Ultrasonography
26/Nov/2020
Caecal appendix lipomatosis in a pregnant patient mimicking acute appendicitis
DOI: 10.31744/einstein_journal/2020RC5415
ABSTRACT A 34-years-old pregnant woman admitted in the emergency unit complaining about worsening right iliac fossa pain for 2 days. Acute appendicitis was the suspected diagnosis. Laboratory exams were ordered and results were within normal limits for infectious and inflammatory aspects. Ultrasound scan revealed a pregnancy in course without alterations and a thickness of the appendix wall without inflammatory signs in the surrounding tissue. Because the suspicion of acute appendicitis remained, a magnetic resonance was done and confirmed the diagnosis […]
Keywords: Appendicitis; Diagnosis, differential; Lipomatosis; Magnetic resonance imaging; Pregnant Women; Ultrasonography
