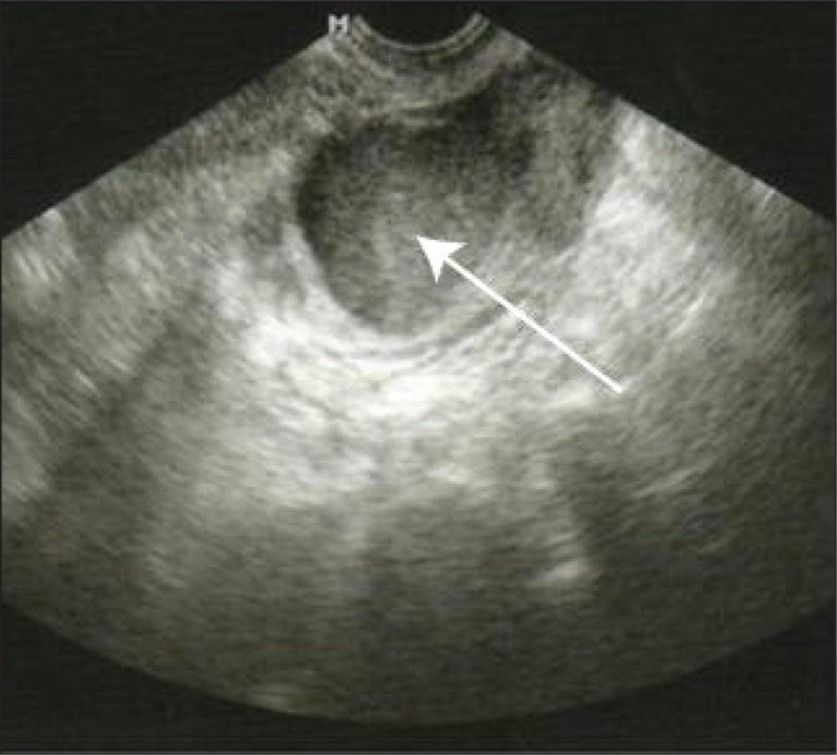
OBJECTIVE: To assess lag time between onset of symptoms and diagnosis of endometriosis in patients followed up at the Outpatients Clinic of Endometriosis and Chronic Pelvic Pain, at the Hospital do Servidor Público Estadual de São Paulo “Francisco Morato de Oliveira”, from January 2003 to November 2009. METHODS: In a retrospective analytical study, a total of 310 women with endometriosis confirmed by surgery and pathological examination were evaluated in the period from January 6, 2003 to November 29, 2009. Data […]