23/Oct/2025
Thin-cap fibroatheroma association with local inflammatory activity in coronary disease: an optical-coherence tomography study
einstein (São Paulo). 23/Oct/2025;23:eAO1592.
View Article23/Oct/2025
Thin-cap fibroatheroma association with local inflammatory activity in coronary disease: an optical-coherence tomography study
DOI: 10.31744/einstein_journal/2025AO1592
Highlights ■ Optical coherence tomography enables in vivo characterization of inflammatory activity within coronary plaques. ■ Thin-cap fibroatheromas demonstrate greater macrophage accumulation than non-thin-cap fibroatheromas. ■ Neovascularization is more frequent and quantitatively greater in thin-cap fibroatheromas. ■ The combined burden of macrophages and neovessels provides predictive value for plaque vulnerability. ABSTRACT Objective: The aim of the present study is to assess whether the intensity of local inflammation relates to the presence of thin-cap fibroatheromas. Methods: Retrospective, single-center study of patients […]
Keywords: Atherosclerosis; Coronary artery disease; Inflammation; Microphages; Plaque, atherosclerotic; Tomography, optical coherence
22/Sep/2025
Expression profiles of miR-23a andmiR-146a in the peripheral blood of women with premature ovarian insufficiency
DOI: 10.31744/einstein_journal/2025AO1421
Highlights ■ Higher miR-23a levels in patients with premature ovarian insufficiency vs. normovulatory women. ■ Lower miR-146a levels in patients with premature ovarian insufficiency vs. normovulatory women. ■ Novel biomarkers for early diagnosis and monitoring of premature ovarian insufficiency. ■ Potential biomarkers to therapeutic targets for premature ovarian insufficiency. ABSTRACT Objective: This study aimed to analyze the expression profiles of miR-23a and miR-146a in women with premature ovarian insufficiency and to evaluate their value as biomarkers of the disease for […]
Keywords: Autoimmunity; Biomarkers; Inflammation; MicroRNAs; Peripheral blood; Primary ovarian insufficiency
12/Sep/2025
Inflammatory response to elective percutaneous coronary intervention is related to myocardial injury
einstein (São Paulo). 12/Sep/2025;23:eAO1582.
View Article12/Sep/2025
Inflammatory response to elective percutaneous coronary intervention is related to myocardial injury
DOI: 10.31744/einstein_journal/2025AO1582
Highlights ■ Previous studies have correlated inflammation with complications after percutaneous coronary intervention. ■ In patients with stable coronary disease, percutaneous coronary intervention leads to elevated inflammatory biomarker levels. ■ The inflammatory response is significantly correlated with myocardial injury. ABSTRACT Introduction: In acute coronary syndrome, the release of inflammatory and myocardial injury biomarkers after percutaneous coronary intervention is associated with poor prognosis. However, little is known about the association between these biomarkers in patients with stable disease. Objective: We aimed […]
Keywords: Acute coronary syndrome; Biomarkers; Inflammation; Myocardial injury; Neutrophis; Percutaneous coronary intervention; Prognosis; Systemic inflammatory response
30/Jul/2025
High levels of a comprehensive set of matrix metalloproteinases in endometriotic lesions: validating the key role of cellular senescence in endometriosis pathogenesis
einstein (São Paulo). 30/Jul/2025;23:eAO1345.
View Article30/Jul/2025
High levels of a comprehensive set of matrix metalloproteinases in endometriotic lesions: validating the key role of cellular senescence in endometriosis pathogenesis
DOI: 10.31744/einstein_journal/2025AO1345
Highlights ■ MMP-1, MMP-2, and MMP-3 are upregulated in endometriotic lesions. ■ The study findings suggest a senescence-associted secretory phenotype in endometriosis. ■ The study findings support targeting senescence pathways in endometriosis. ABSTRACT Objective: To investigate the roles of cellular senescence and dysfunctional extracellular matrix metalloproteinases (MMPs) in perpetuating chronic inflammation and facilitating the establishment of endometriotic lesions. By analyzing the MMP activity in the endometrial tissue and peritoneal fluid, we aimed to obtain novel insights into the molecular mechanisms […]
Keywords: Cellular senescence; Endometriosis; Extracellular matrix; Inflammation; Metalloproteinases; Senescence-associated secretory phenotype
26/Nov/2024
Use of convalescent plasma in COVID-19 treatment: is clinical severity more important than the intervention?
einstein (São Paulo). 26/Nov/2024;22:eAO0563.
View Article26/Nov/2024
Use of convalescent plasma in COVID-19 treatment: is clinical severity more important than the intervention?
DOI: 10.31744/einstein_journal/2024AO0563
Highlights ■ Convalescent plasma did not affect the outcomes. ■ Convalescent plasma improved some laboratory parameters but had no impact on clinical outcomes. ■ Dialysis and the World Health Organization severity score on day 0 influenced the outcomes. ABSTRACT Objective: This study compared the outcomes of two cohorts of patients with coronavirus disease 2019 (COVID-19) who received COVID-19 convalescent plasma transfusions between 2020 and 2021. Methods: This retrospective study was conducted at a tertiary hospital in São Paulo, Brazil. We […]
Keywords: COVID-19 serotherapy; Dialysis; Hospitalization; Immunization, passive; Inflammation; Plasma
21/Nov/2024
Effects of host modulation through omega-3 dietary supplementation on inflammatory outcomes in periodontitis: a scoping review
einstein (São Paulo). 21/Nov/2024;22:eRW0936.
View Article21/Nov/2024
Effects of host modulation through omega-3 dietary supplementation on inflammatory outcomes in periodontitis: a scoping review
DOI: 10.31744/einstein_journal/2024RW0936
ABSTRACT Objective: Inflammation causes the progressive destruction of the supporting tissues around teeth in patients with periodontitis. Therefore, this study aimed to investigate the immunological effects of omega-3 polyunsaturated fatty acids (n-3 PUFAs) as adjunctive therapy in patients with periodontal disease and identify potential biomarkers for the disease. Methods: This scoping review followed the Preferred Reporting Items for Systematic Reviews and Meta-Analyses guidelines to investigate the impact of omega-3 therapy with or without acetylsalicylic acid on the immunological parameters of […]
Keywords: Cytokines; Fatty acids; Inflammation; Omega-3; Periodontitis
22/Jul/2024
Inflammation and all-cause mortality in patients undergoing peritoneal dialysis
einstein (São Paulo). 22/Jul/2024;22:eAO0627.
View Article22/Jul/2024
Inflammation and all-cause mortality in patients undergoing peritoneal dialysis
DOI: 10.31744/einstein_journal/2024AO0627
Highlights Higher plasma levels of CCL2 and lower plasma levels of TNF-α are associated with a greater risk of transfer to hemodialysis or mortality. Lower levels of IL-17 in the dialysate are associated with a greater risk of transfer to hemodialysis or mortality. These findings suggest that inflammatory biomarkers can be valuable tools for predicting all-cause mortality and transfer to hemodialysis in patients undergoing peritoneal dialysis. ABSTRACT Objective: This study aimed to evaluate inflammatory biomarkers in patients undergoing peritoneal dialysis […]
Keywords: Cytokines; Inflammation; Membranes; Mortality; Peritoneal dialysis; Peritoneum
19/Oct/2023
Articular mobilization promotes improvement in functional and inflammatory parameters in a gouty arthritis model
einstein (São Paulo). 19/Oct/2023;21:eAO0465.
View Article19/Oct/2023
Articular mobilization promotes improvement in functional and inflammatory parameters in a gouty arthritis model
DOI: 10.31744/einstein_journal/2023AO0465
Highlights The predominance of neutrophils was observed in an acute model of gout in mice, where neutrophils were mobilized and gradually replaced by monocytes/macrophages, with attenuation of the influence of leukocyte infiltration in the synovial fluid. Mobilization promotes analgesia and modulates the inflammatory process due to reduced edema and subtle attenuation of cell migration. At the inflammatory peak in a gouty arthritis model, manual therapy and passive joint mobilization decrease nociception and edema in functional and inflammatory parameters. ABSTRACT Objective: […]
Keywords: Arthritis, gouty; Edema; Inflammation; Leukocytes; Models, theoretical; Rats, Wistar; Synovial fluid
01/Jun/2022
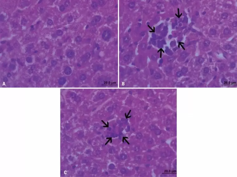
Exposure to glyphosate-based herbicide during early stages of development increases insulin sensitivity and causes liver inflammation in adult mice offspring
einstein (São Paulo). 01/Jun/2022;20:eAO6778.
View Article01/Jun/2022
Exposure to glyphosate-based herbicide during early stages of development increases insulin sensitivity and causes liver inflammation in adult mice offspring
DOI: 10.31744/einstein_journal/2022AO6778
ABSTRACT Objective: To investigate the effect of pre and postnatal exposure to a glyphosate-based herbicide on glucose metabolism and liver histology in adult F1 mice offspring. Methods: Female mice (C57Bl/6) received 0.5% of glyphosate (Roundup Original DI®) in drinking water or purified water (Glyphosate Group and Control Group respectively) during pregnancy and lactation. Offspring (F1) were submitted to glucose and insulin tolerance tests and euthanized on postnatal day 150. Body and plasma parameters, and liver histology were analyzed. Results: Exposure […]
Keywords: Endocrine disruptors; Glucose metabolism disorders; Glyphosate; Herbicides; Inbred C57BL; Inflammation; Mice
14/Nov/2019
Neutrophil-lymphocyte ratio change after curative gastrectomy for gastric cancer: a subgroup analysis
DOI: 10.31744/einstein_journal/2020AO4860
ABSTRACT Objective: To evaluate the impact of neutrophil-lymphocyte ratio change after curative surgery for gastric cancer. Methods: A retrospective analysis of patients with gastric cancer who underwent curative surgery between 2009 and 2017 was performed. A cutoff value was established for the neutrophil-lymphocyte ratio in the pre- and postoperative periods, according to the median value, and four subgroups were formed (low-low/low-high/high-low/high-high). Clinical-pathological and survival data were analyzed and related to these subgroups. Results: A total of 325 patients were included […]
Keywords: Biomarkers; Gastrectomy; Inflammation; Prognosis; Stomach neoplasms
