einstein (São Paulo). 01/Jun/2022;20:eAO6778.
Exposure to glyphosate-based herbicide during early stages of development increases insulin sensitivity and causes liver inflammation in adult mice offspring
DOI: 10.31744/einstein_journal/2022AO6778
ABSTRACT
Objective:
To investigate the effect of pre and postnatal exposure to a glyphosate-based herbicide on glucose metabolism and liver histology in adult F1 mice offspring.
Methods:
Female mice (C57Bl/6) received 0.5% of glyphosate (Roundup Original DI®) in drinking water or purified water (Glyphosate Group and Control Group respectively) during pregnancy and lactation. Offspring (F1) were submitted to glucose and insulin tolerance tests and euthanized on postnatal day 150. Body and plasma parameters, and liver histology were analyzed.
Results:
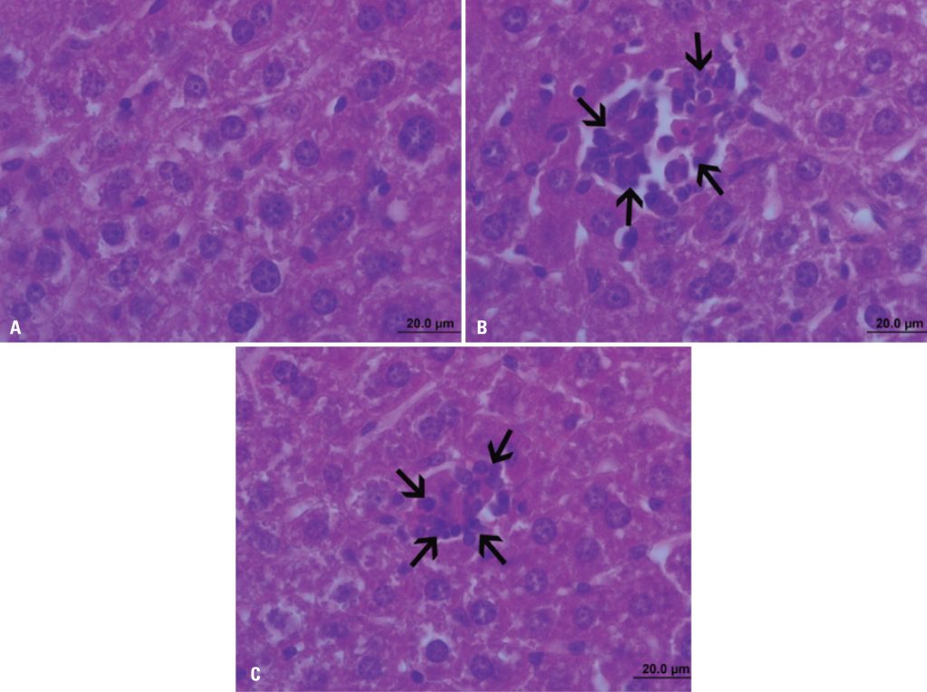
Exposure to glyphosate reduced maternal body weight gain during pregnancy and lactation, with no impacts on litter size. Pre and postnatal exposure to glyphosate did not affect body parameters but increased glucose tolerance on postnatal day 60. In spite of glucose tolerance normalization by postnatal day 143, this effect was associated with higher insulin sensitivity relative to mice in the Control-F1 Group. Mice in the Glyphosate-F1 Group had mild and moderate lobular inflammation in the liver.
Conclusion:
Maternal exposure to glyphosate affected insulin sensitivity and caused hepatic inflammation in adult F1 mice offspring.
427

