4 results
23/May/2023
DOI: 10.31744/einstein_journal/2023AO0160
Highlights A novel in vitro experimental model was described for Rocio Flavivirus replication in a primary mouse neural cell culture. ROCV efficiently infects primary neural cell cultures, causing cytopathic changes and cell death from the 2nd and 7th days post infection, respectively. A higher viral titer was observed on the 2nd days post infection. The viral replication kinetics was compatible with the cell death kinetics of ROCV-infected cultures. ABSTRACT Objective This study verified the replication efficiency of the Rocio virus […]
Keywords: Antigens, viral; Central nervous system infections; Disease models, animal; Flavivirus; Flavivirus infection; Mice; Primary cell culture; Rocio virus
01/Jul/2010
01/Jul/2010
DOI: 10.1590/S1679-45082010AO1663
ABSTRACT Objective: The aim of this study was to develop an experimental model of inducing interstitial cystitis through intravesical instillation of a polymeric solution containing the NO donor S-nitrousglutathione (GSNO) and to compare it to the experimental interstitial cystitis induced by vesical instillation of protamine and potassium chloride. Methods: A total of 40 female Wistar rats were used and divided into four groups: 1 – ten rats treated with saline solution + GSNO; 2 – ten rats treated with saline […]
Keywords: Cystitis, interstitial/chemically induced; Disease models, animal; Potassium chloride/adverse effects; Protamines/adverse effects; Rats, Wistar
01/Jan/2010
DOI: 10.1590/S1679-45082010RB1416
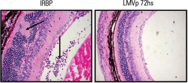
ABSTRACT Experimental autoimmune uveitis is an organ-specific T-cell mediated autoimmune disease characterized by inflammation and consequent destruction of the neural retina and adjacent tissues. Inflammation in experimental autoimmune uveitis may be induced in rodents by immunization with retinal antigens, such as interphotoreceptor retinoid-binding protein. We present a review of experimental studies that correlate primary immunobiological functions with this chronic disease and the possible use of molecules for the treatment of autoimmune uveitis.
Keywords: Antigens/immunology; Disease models, animal; Uveitis/immunology
01/Jan/2010
01/Jan/2010
DOI: 10.1590/S1679-45082010AO1440
ABSTRACT Objective: To change the gasless fetoscopy technique in order to reduce the diameter of entry orifices in the myometrium. Methods: Seven pregnant ewes were submitted to fetoscopy for repairing a large skin defect measuring 4.0 × 3.0 cm, created in the fetal lumbar region at the gestational age of 100 days. The defect was repaired through continuous suture of the skin with approximation of borders. Gasless fetoscopy was used for performing the suture with three orifices to allow entry […]
Keywords: Disease models, animal; Fetal therapies/methods; Fetoscopy/methods; Meningomyelocele/surgery; Sheep/abnormalities; Surgical procedures, operative; Suture techniques; Ultrasonography; Video-assisted surgery