einstein (São Paulo). 01/Apr/2016;14(2):135-42.
The destruction complex of beta-catenin in colorectal carcinoma and colonic adenoma
DOI: 10.1590/S1679-45082016AO3678
ABSTRACT
Objective
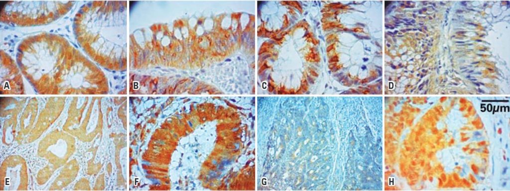
To evaluate the destruction complex of beta-catenin by the expression of the proteins beta-catetenin, adenomatous polyposis coli, GSK3β, axin and ubiquitin in colorectal carcinoma and colonic adenoma.
Methods
Tissue samples from 64 patients with colorectal carcinoma and 53 patients with colonic adenoma were analyzed. Tissue microarray blocks and slides were prepared and subjected to immunohistochemistry with polyclonal antibodies in carcinoma, adjacent non-neoplastic mucosa, and adenoma tissues. The immunoreactivity was evaluated by the percentage of positive stained cells and by the intensity assessed through of the stained grade of proteins in the cytoplasm and nucleus of cells. In the statistical analysis, the Spearman correlation coefficient, Student’s t, χ2, Mann-Whitney, and McNemar tests, and univariate logistic regression analysis were used.
Results
In colorectal carcinoma, the expressions of beta-catenin and adenomatous polyposis coli proteins were significantly higher than in colonic adenomas (p<0.001 and p<0.0001, respectively). The immunoreactivity of GSK3β, axin 1 and ubiquitin proteins was significantly higher (p=0.03, p=0.039 and p=0.03, respectively) in colorectal carcinoma than in the colonic adenoma and adjacent non-neoplastic mucosa. The immunohistochemistry staining of these proteins did not show significant differences with the clinical and pathological characteristics of colorectal cancer and colonic adenoma.
Conclusions
These results suggest that, in adenomas, the lower expression of the beta-catenin, axin 1 and GSK3β proteins indicated that the destruction complex of beta-catenin was maintained, while in colorectal carcinoma, the increased expression of beta-catenin, GSK3β, axin 1, and ubiquitin proteins indicated that the destruction complex of beta-catenin was disrupted.
859

