einstein (São Paulo). 01/Oct/2016;14(4):573-4.
Dental chromatic alteration caused by neonatal cholestasis
DOI: 10.1590/S1679-45082016AI3488
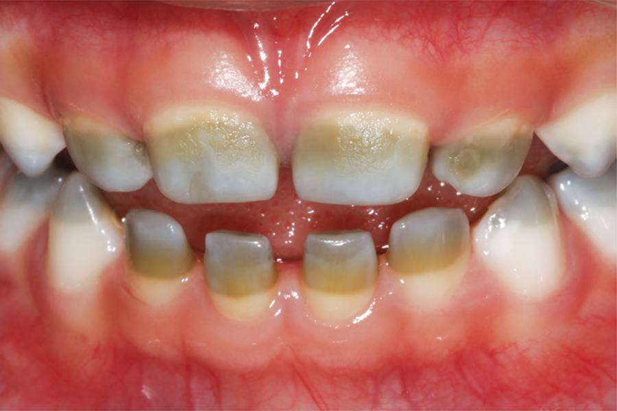
Cholestasis occurs due to reduced synthesis of bile acids or the deficient (intra or extra-hepatic) excretion of biliary components (cholesterol, phospholipids, bile salts, bilirubin and proteins) to the small intestine. Newborns, especially preterm-born children, have a predisposition to neonatal cholestasis because of hepatic immaturity. This condition can generate systemic problems, such as choluria, acholia, hypercholesterolemia and hyperbilirubinemia.(,)It can also change the structural composition or thickness of the mineralized dental tissues, enamel and dentine, leading to intrinsic chromatic changes due to hyperbilirubinemia (concentration of total bilirubin in blood serum higher than 5mg/dL).() In high concentrations, bilirubin deposited into the enamel and/or dentine during the period of matrix mineralization, therefore changing its coloration permanently,(-) since these tissues lose their metabolic activity after maturation.()
A 2-year-old girl was assisted at the pediatric clinic of the School of Dentistry at Araraquara, Universidade Estadual Paulista “Júlio de Mesquita Filho” (UNESP), accompanied by her father who was complaining about teeth pigmentation. The anamnesis showed that she was born in the 29th week of gestation, weighing 1,800g and with an Apgar score 2 in the first minute and 4 in the fifth minute, which required urgent measures of reanimation. The patient also had hypoxia, neonatal cholestasis, persistent arterial duct (PAD), interventricular communication (IVC), anemia and sepsis. The child remained hospitalized at the intensive care unit (ICU) for 40 days, and she underwent high-intensity phototherapy along with medication to reduce the production of bilirubin. The treatment was continued until normalization of clinical condition. Tests were carried out when the child was 3 months old and the results showed total bilirubin concentration equal to 14.9mg/dL; Glutamic-oxaloacetic transaminase (GOT) of 178U/L and glutamic-pyruvic transaminase (GPT) of 165U/L. At 1 year of age, the patient’s references were within normal ranges, and she did not present any motor or late cognitive sequelae.
[…]
261

