einstein (São Paulo). 01/out/2016;14(4):573-4.
Alteração cromática dentária decorrente de colestase neonatal
DOI: 10.1590/S1679-45082016AI3488
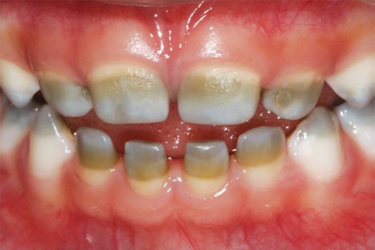
A colestase resulta da redução da síntese dos ácidos biliares ou do bloqueio (intra ou extra-hepático) da excreção dos componentes biliares (colesterol, fosfolipídeos, sais biliares, bilirrubina e proteínas) para o intestino delgado. O recém-nascido, em especial o pré-termo, tem predisposição à colestase neonatal, em virtude da imaturidade hepática. Esta pode gerar problemas sistêmicos, como colúria, acolia fecal, hipercolesterolemia e hiperbilirrubinemia.(,) Também pode gerar alterações na composição estrutural ou na espessura dos tecidos mineralizados dos dentes em formação e alterações cromáticas intrínsecas, decorrentes da hiperbilirrubinemia (concentração de bilirrubina total no soro sanguíneo superior a 5mg/dL).() Em altas concentrações, a bilirrubina deposita-se no esmalte e/ou na dentina durante o período de mineralização, alterando sua coloração de forma permanente,(-) pois esses tecidos, depois da maturação, perdem sua atividade metabólica.()
Paciente do sexo feminino, 2 anos de idade, compareceu à clínica de odontopediatria da Faculdade de Odontologia de Araraquara da Universidade Estadual Paulista “Júlio de Mesquita Filho” (UNESP), acompanhada pelo pai, com queixa de dentes manchados. Na anamnese, foi constatado que a criança nasceu na 29ª semana de gestação, pesando 1,8kg e com índice de Apgar 2 no primeiro minuto e 4 no quinto minuto, necessitando de medidas urgentes de reanimação. Apresentou ainda hipóxia, colestase neonatal, persistência do canal arterial (PCA), comunicação interventricular (CIV), anemia e sepse. Permaneceu na unidade de terapia intensiva (UTI) por 40 dias, onde foi submetida à fototerapia de alta intensidade, aliada a medicamentos para redução da produção de bilirrubina. O tratamento prosseguiu até a normalização do quadro. Exames realizados aos 3 meses de vida mostraram concentração de bilirrubina total igual a 14,9mg/dL; transaminase glutâminco oxalacética (TGO) de 178U/L e transaminase glutâmico prúvica (TGP) de 165U/L. Com 1 ano de idade, estas mostraram-se dentro dos padrões de referência, e a criança não apresentava sequelas motoras e nem intelectuais tardias.
[…]
274

