einstein (São Paulo). 19/Jun/2019;17(3):eAO4635.
Chronic treatment with hydroalcoholic extract of Plathymenia reticulata promotes islet hyperplasia and improves glycemic control in diabetic rats
DOI: 10.31744/einstein_journal/2019AO4635
ABSTRACT
Objective:
To investigate the anti-hyperglycemic effects of Plathymenia reticulata hydroalcoholic extract and related changes in body weight, lipid profile and the pancreas.
Methods:
Diabetes was induced in 75 adult male Wistar rats via oral gavage of 65mg/Kg of streptozotocin. Rats were allocated to one of 8 groups, as follows: diabetic and control rats treated with water, diabetic and control rats treated with 100mg/kg or 200mg/kg of plant extract, and diabetic and control rats treated with glyburide. Treatment consisted of oral gavage for 30 days. Blood glucose levels and body weight were measured weekly. Animals were sacrificed and lipid profile and pancreatic tissue samples analyzed. Statistical analysis consisted of ANOVA, post-hoc Tukey-Kramer, paired Student’s t and χ2 tests; the level of significance was set at 5%.
Results:
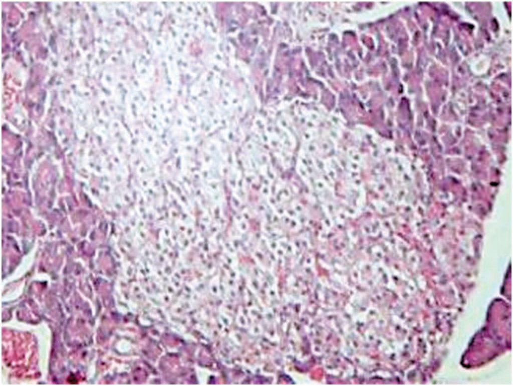
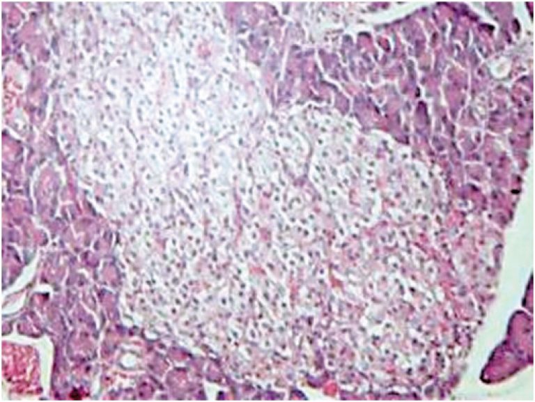
Extract gavage at 100mg/kg led to a decrease in blood glucose levels in diabetic rats in the second, third (198.71±65.27 versus 428.00±15.25) and fourth weeks (253.29±47.37 versus 443.22±42.72), body weight loss (13.22±5.70 versus 109.60±9.95) and lower cholesterol levels (58.75±3.13 versus 80.11±4.01) in control rats. Extract gavage at 200mg/Kg led to a decrease in glucose levels on the fourth week in diabetic rats, body weight loss in the second, third and fourth weeks in control rats, and lower cholesterol levels in diabetic and control rats. Islet hyperplasia (p=0.005) and pancreatic duct dilation (p=0.047) were observed in diabetic and control rats.
Conclusion:
Plathymenia extract reduced blood glucose levels in diabetic rats, and body weight in control rats, and promoted pancreatic islet hyperplasia in diabetic and control rats.
424

