einstein (São Paulo). 01/Jul/2019;17(4):eRC4668.
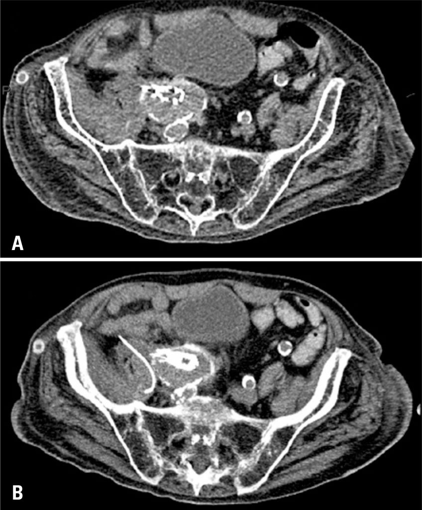
Peri-prosthetic infection in the postoperative period of endovascular abdominal aorta aneurysm repair: treatment by percutaneous drainage
DOI: 10.31744/einstein_journal/2019RC4668
ABSTRACT
Endovascular aneurysm repair is an established technique for treating many infrarenal aortic aneurysms. Infection is one of the most serious complications of this technique, and although percutaneous treatment has been well established for intra-abdominal collections, its use to treat peri-prosthetic fluid collections has not been well determined. In this article we describe a small series of three patients who were treated with percutaneous drainage, with good clinical and imaging responses. Percutaneous drainage is a safe, effective and minimally invasive approach for treating this potentially fatal complication.
1,843

