einstein (São Paulo). 01/jul/2019;17(4):eRC4668.
Infecção periprótese no pós-operatório do reparo endovascular de aneurisma de aorta abdominal: tratamento por drenagem percutânea
DOI: 10.31744/einstein_journal/2019RC4668
RESUMO
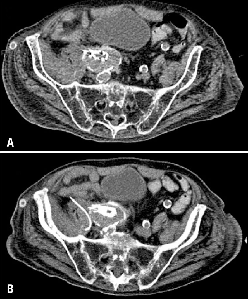
O reparo endovascular de aneurisma é uma técnica para tratamento de diversos aneurismas infrarrenais da aorta. A infecção é uma das complicações mais sérias desse tratamento, e a abordagem percutânea tem sido adotada para coleções intra-abdominais, mas seu uso para tratamento de coleções protéticas vasculares não está bem estabelecido. Descreve-se, neste trabalho, pequena série de três pacientes tratados com drenagem percutânea, que apresentaram boa resposta clínica e de imagem. A drenagem percutânea mostrou-se abordagem segura, efetiva e minimamente invasiva para tratamento desta complicação, que é potencialmente fatal.
1.854

