einstein (São Paulo). 14/Feb/2019;17(1):eRC4504.
Kaposi sarcoma of the penis in an HIV-negative patient
DOI: 10.31744/einstein_journal/2019RC4504
ABSTRACT
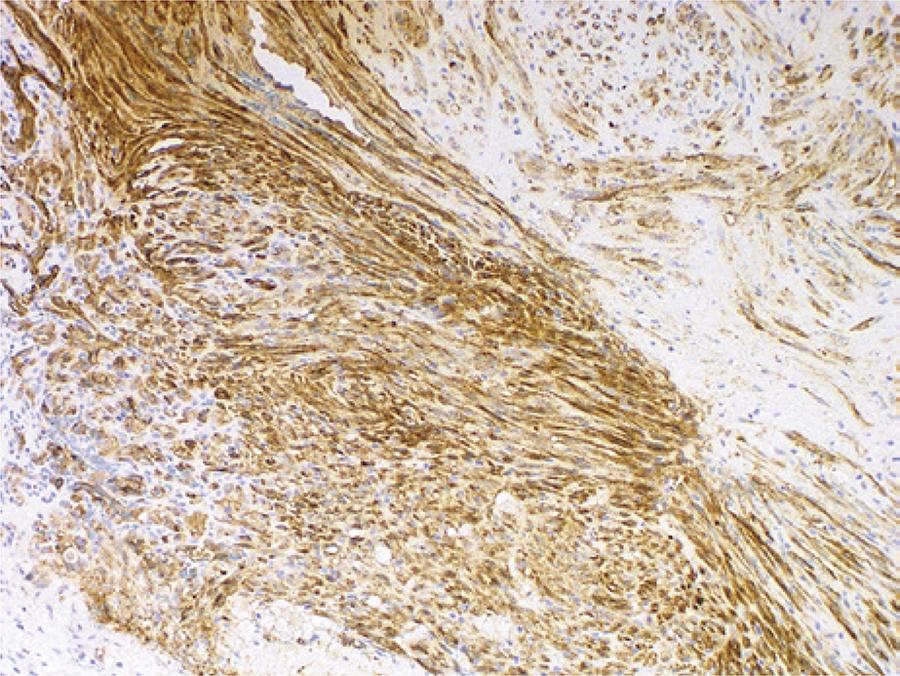
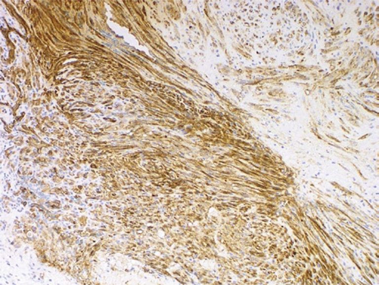
Kaposi sarcoma is an angioproliferative disorder that ranges from a single indolent skin lesion to respiratory and gastrointestinal/visceral involvement. Kaposi sarcoma is rare in non-immunosuppressed patients. Nineteen cases of penile Kaposi sarcoma in HIV-negative patients were reported in 2012. We present the case report of a 48-year-old male patient with no previous medical history, who came to our urology clinic presenting a purple-color papule on the penis glans. Lab tests revealed negative serology for HIV, but tissue PCR was positive for human herpesvirus 8. Histopathology examination after lesion excision was compatible with Kaposi sarcoma. No other cutaneous or mucosal lesions were present. Primary Kaposi sarcoma of the penis is rare, but may occur in non-immunosuppressed patients.
Keywords: Sarcoma, Kaposi; Penis/pathology; HIV; Penile neoplasms; Herpesvirus 8, human
1,961

