The journal einstein (São Paulo) – e-ISSN 2317-6385 is dedicated to dissemination of high-quality scientific content that advances our understanding of human disease with the goal of improving prevention, care, diagnostics and treatment of patients globally.
Incidentalomas are lesions incidentally identified in patients undergoing imaging for unrelated reasons. Breast incidentalomas have a high correlation with malignancy, occurring in over 40% of cases. Consequently, their interpretation poses significant challenges for radiologists who must discern the findings that may present a potential risk to the patient. This pictorial review presents different incidental breast lesions revealed through cross-sectional imaging. We further review key concepts related to such incidentalomas.
Incidentally detected breast lesions: a pictorial essay of malignant and benign findings
TachibanaBMT, CarneiroRM, YonekuraI, RibeiroRLM, RacyACS, FedericciEF. Incidentally detected breast lesions: a pictorial essay of malignant and benign findings. einstein (Sao Paulo). 2025;23:eRW0681. https://doi.org/10.31744/einstein_journal/2025RW0681
Tachibana,Bruna Mayumi Takaki; Carneiro,Rodrigo Marques; Yonekura,Iviny; Ribeiro,Renato Leme de Moura; Racy,Ana Cláudia Silveira; Federicci,Érica Elisângela Francolin. Incidentally detected breast lesions: a pictorial essay of malignant and benign findings. einstein (Sao Paulo)., v. 23, eRW0681, Jun. 2025. https://doi.org/10.31744/einstein_journal/2025RW0681
Tachibana,B.M.T., Carneiro,R.M., Yonekura,I., Ribeiro,R.L.M., Racy,A.C.S., & Federicci,E.F. (2025). Incidentally detected breast lesions: a pictorial essay of malignant and benign findings. einstein (Sao Paulo).,23, eRW0681. https://doi.org/10.31744/einstein_journal/2025RW0681
Tachibana,Bruna Mayumi Takaki and Carneiro,Rodrigo Marques and Yonekura,Iviny and Ribeiro,Renato Leme de Moura and Racy,Ana Cláudia Silveira and Federicci,Érica Elisângela Francolin. Incidentally detected breast lesions: a pictorial essay of malignant and benign findings. einstein (Sao Paulo). [online]. 2025, vol. 23, [cited 2026-05-20], eRW0681. Available from: <https://journal.einstein.br/article/incidentally-detected-breast-lesions-a-pictorial-essay-of-malignant-and-benign-findings/>. ISSN 1679-4508. https://doi.org/10.31744/einstein_journal/2025RW0681
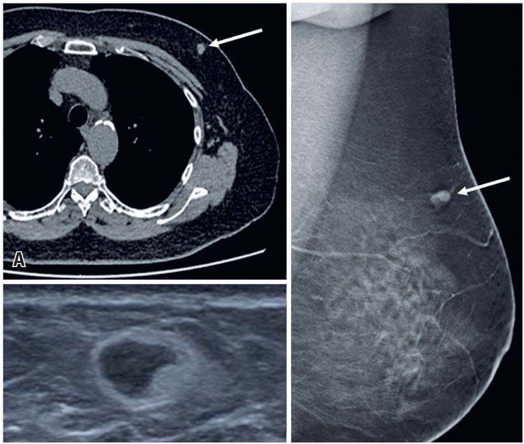
Figure 10
A 68-year-old woman underwent a chest CT for colon tumor staging. (A) The study identified a mass in the union of the upper quadrants of the left breast (arrow). (B) A breast ultrasound revealed an oval-shaped nodule. (C) Mammography showed a nodule suggestive of an atypical intramammary lymph node (arrow). The anatomopathological result was adipose tissue with fibroblastic reaction to hematologic material (hematoma in organization)
A 68-year-old woman underwent a chest CT for colon tumor staging. (A) The study identified a mass in the union of the upper quadrants of the left breast (arrow). (B) A breast ultrasound revealed an oval-shaped nodule. (C) Mammography showed a nodule suggestive of an atypical intramammary lymph node (arrow). The anatomopathological result was adipose tissue with fibroblastic reaction to hematologic material (hematoma in organization)