The journal einstein (São Paulo) – e-ISSN 2317-6385 is dedicated to dissemination of high-quality scientific content that advances our understanding of human disease with the goal of improving prevention, care, diagnostics and treatment of patients globally.
Liposarcoma is one of the most common soft tissue sarcomas in adults, occurring in 15 to 20% of all patients with sarcoma. Primary liposarcoma of the stomach is rare. We report a case of patient with giant gastric liposarcoma who underwent surgery after a gastrointestinal bleeding. Preoperative hystopathological diagnosis was not established, even after three biopsy attempts. We discuss differential diagnosis, genetic causes, diagnosis strategies and treatment.
Giant gastric lipossarcoma: case report and review of the literature
MatoneJ, OkazakiS, MaccapaniGN, AmancioTT, FilippiRZ, MacedoALV. Giant gastric lipossarcoma: case report and review of the literature. Einstein (Sao Paulo). 2016;14(4):557-60. https://doi.org/10.1590/S1679-45082016RC3770
Matone,Jacques; Okazaki,Samuel; Maccapani,Gabriel Naman; Amancio,Thiago Trolez; Filippi,Renée Zon; Macedo,Antonio Luiz de Vasconcellos. Giant gastric lipossarcoma: case report and review of the literature. Einstein (Sao Paulo)., v. 14, n. 4, p. 557-560, Oct. 2016. https://doi.org/10.1590/S1679-45082016RC3770
Matone,J., Okazaki,S., Maccapani,G.N., Amancio,T.T., Filippi,R.Z., & Macedo,A.L.V. (2016). Giant gastric lipossarcoma: case report and review of the literature. Einstein (Sao Paulo).,14(4), 557-560. https://doi.org/10.1590/S1679-45082016RC3770
Matone,Jacques and Okazaki,Samuel and Maccapani,Gabriel Naman and Amancio,Thiago Trolez and Filippi,Renée Zon and Macedo,Antonio Luiz de Vasconcellos. Giant gastric lipossarcoma: case report and review of the literature. Einstein (Sao Paulo). [online]. 2016, vol. 14, n. 4, [cited 2026-04-23], pp.557-560. Available from: <https://journal.einstein.br/article/giant-gastric-lipossarcoma-case-report-and-review-of-the-literature/>. ISSN 1679-4508. https://doi.org/10.1590/S1679-45082016RC3770
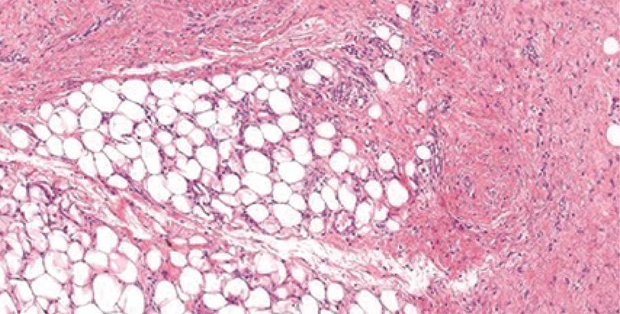
Figure 5
Adipose tissue and thick fibrous septa (hematoxylin and eosin)