einstein (São Paulo). 01/Oct/2016;14(4):553-6.
Isolated primary amyloidosis of the inferior rectus muscle mimicking Graves’ orbitopathy
DOI: 10.1590/S1679-45082016RC3744
ABSTRACT
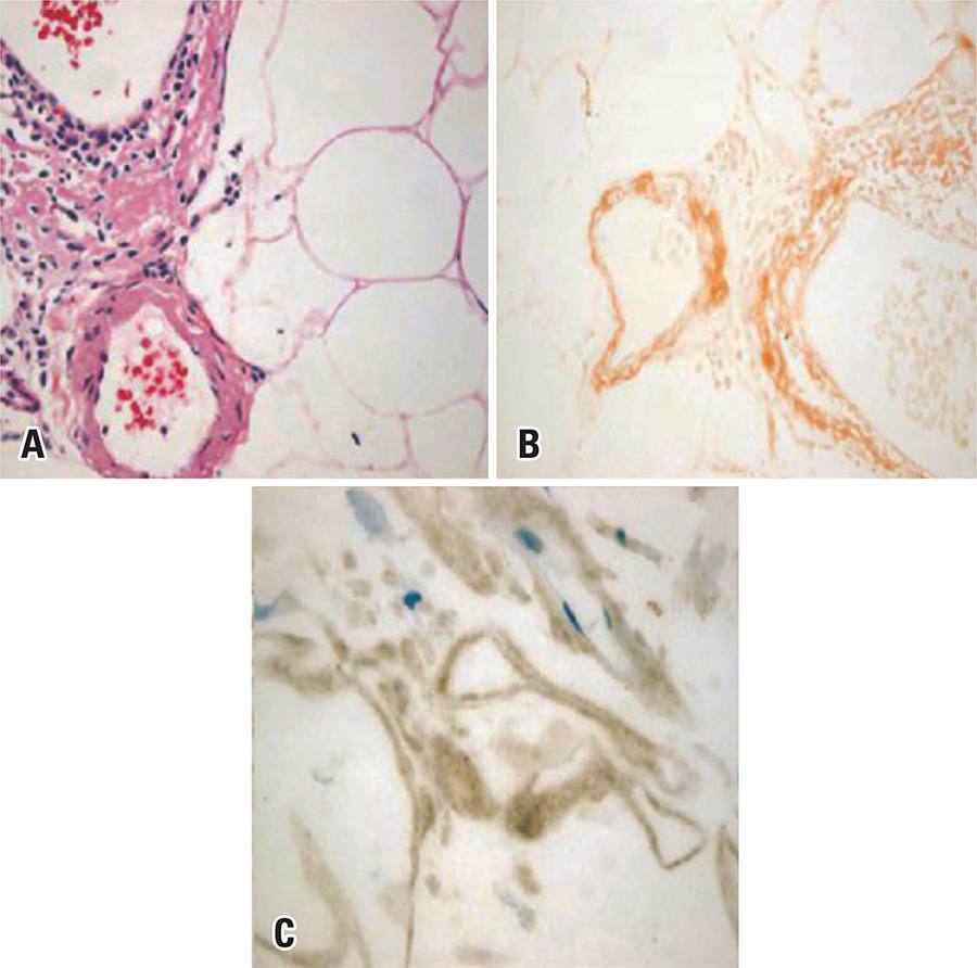
The diagnosis of Graves’ orbitopathy is usually straightforward. However, orbital diseases that mimick some clinical signs of Graves’ orbitopathy may cause diagnostic confusion, particularly when associated to some form of thyroid dysfunction. This report describes the rare occurrence of localized inferior rectus muscle amyloidosis in a patient with autoimmune hypothyroidism, who was misdiagnosed as Graves’ orbitopathy. A 48-year-old man complained of painless progressive proptosis on the left side and intermittent vertical diplopia for 6 months. The diagnosis of Graves’ orbitopathy was entertained after magnetic resonance imaging revealing a markedly enlarged, tendon-sparing inferior rectus enlargement on the left side, and an autoimmune hypothyroidism was disclosed on systemic medical workup. After no clinical improvement with treatment, the patient was referred to an ophthalmologist and further investigation was performed. The presence of calcification in the inferior rectus muscle on computed tomography, associated with the clinical findings led to a diagnostic biopsy, which revealed amyloid deposition. This report emphasizes that a careful evaluation of atypical forms of Graves’ orbitopathy may be crucial and should include, yet with rare occurrence, amyloidosis in its differential diagnosis.
339

