A revista einstein (São Paulo) - e-ISSN 2317-6385 é dedicada à divulgação de conteúdo científico de alta qualidade para o avanço da nossa compreensão das doenças humanas e com o objetivo de melhorar a prevenção, o cuidado, o diagnóstico e o tratamento de pacientes em todo o mundo.
O lipossarcoma é um tipo comum de sarcomas em adultos, com incidência entre 15 e 20% entre os sarcomas. No entanto, o acometimento do estômago é raro. Relatamos um caso de um lipossarcoma primário gástrico gigante com apresentação clínica de hemorragia digestiva. Foi submetido a tratamento cirúrgico sem diagnóstico definitivo, apesar de três biópsias realizadas. Revisamos diagnósticos diferenciais, influência genética e estratégias diagnósticas e terapêuticas.
Lipossarcoma gástrico gigante: relato de caso e revisão da literatura
MatoneJ, OkazakiS, MaccapaniGN, AmancioTT, FilippiRZ, MacedoALV. Lipossarcoma gástrico gigante: relato de caso e revisão da literatura. Einstein (Sao Paulo). 2016;14(4):557-60. https://doi.org/10.1590/S1679-45082016RC3770
Matone,Jacques; Okazaki,Samuel; Maccapani,Gabriel Naman; Amancio,Thiago Trolez; Filippi,Renée Zon; Macedo,Antonio Luiz de Vasconcellos. Lipossarcoma gástrico gigante: relato de caso e revisão da literatura. Einstein (Sao Paulo)., v. 14, n. 4, p. 557-560, out. 2016. https://doi.org/10.1590/S1679-45082016RC3770
Matone,J., Okazaki,S., Maccapani,G.N., Amancio,T.T., Filippi,R.Z., & Macedo,A.L.V. (2016). Lipossarcoma gástrico gigante: relato de caso e revisão da literatura. Einstein (Sao Paulo).,14(4), 557-560. https://doi.org/10.1590/S1679-45082016RC3770
Matone,Jacques and Okazaki,Samuel and Maccapani,Gabriel Naman and Amancio,Thiago Trolez and Filippi,Renée Zon and Macedo,Antonio Luiz de Vasconcellos. Lipossarcoma gástrico gigante: relato de caso e revisão da literatura. Einstein (Sao Paulo). [online]. 2016, vol. 14, n. 4, [cited 2026-05-09], pp.557-560. Available from: <https://journal.einstein.br/pt-br/article/lipossarcoma-gastrico-gigante-relato-de-caso-e-revisao-da-literatura/>. ISSN 1679-4508. https://doi.org/10.1590/S1679-45082016RC3770
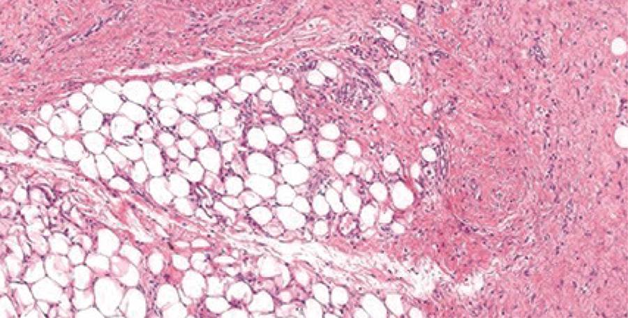
Figura 5
Tecido adiposo e septo fibroso espesso (hematoxilina e eosina)