einstein (São Paulo). 21/Nov/2018;16(4):eRC-4509.
Facial nerve hemangioma in the middle ear
DOI: 10.31744/einstein_journal/2018RC4509
ABSTRACT
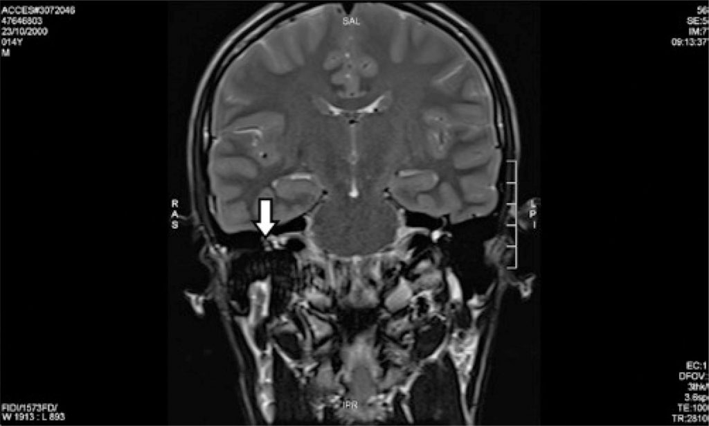
Facial nerve hemangioma is a rare and benign vascular tumor, and accounts for 0.7% of intratemporal tumors. We report the second case described in the literature of a facial nerve hemangioma in its tympanic segment. A 14-year-old male patient presented with a history of progressive right ear hearing loss with preserved facial mimicry. Pure tone audiometry showed a right ear moderate conductive hearing loss. Magnetic resonance imaging demonstrated an expansive lesion involving the tympanic segment of the right facial nerve, suggestive of hemangioma. Watchful waiting was chosen as management. In the first case of middle ear facial hemangioma described in the literature, facial palsy was the symptom that led the patient to seek medical care. In the present case, it can be inferred that the first symptom was conductive hearing loss ipsilateral to the lesion. Facial palsy may not be present and the clinical presentation may resemble otosclerosis, ossicular chain disruption, and third window abnormalities, among other differential diagnoses of conductive hearing loss. The second case of tympanic portion facial nerve hemangioma is reported, describing the specificity of conductive hearing loss as its only clinical manifestation.
Keywords: Hemangioma; Facial nerve; Ear, middle
1,595

