einstein (São Paulo). 21/nov/2018;16(4):eRC-4509.
Hemangioma de nervo facial em orelha média
DOI: 10.31744/einstein_journal/2018RC4509
RESUMO
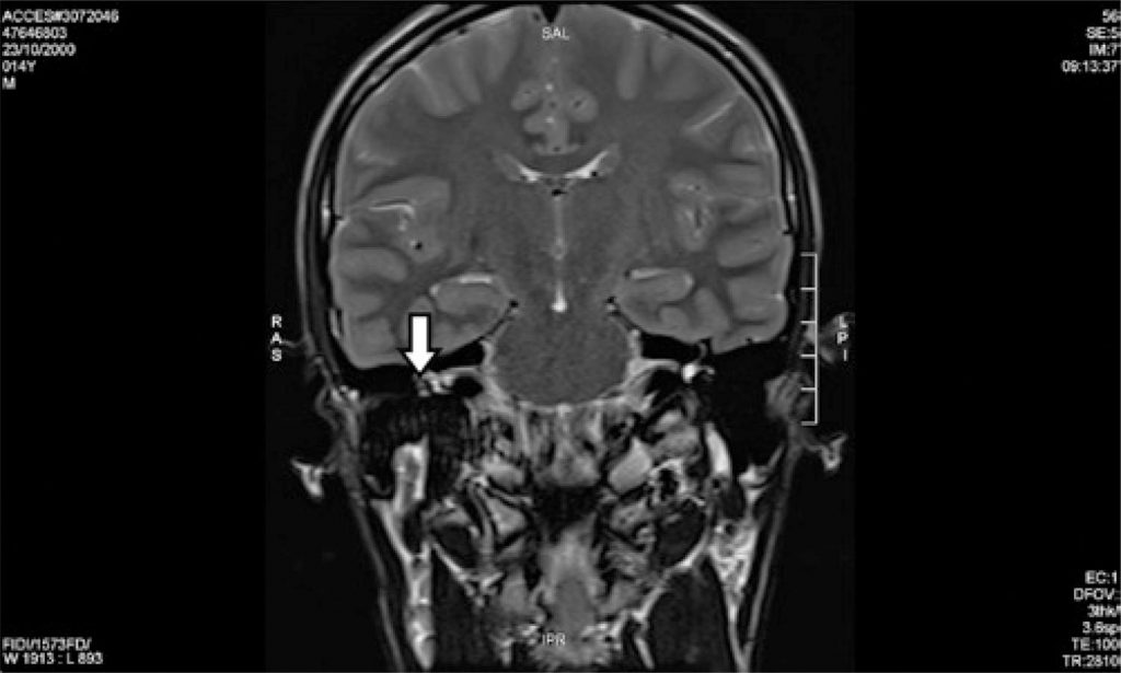
O hemangioma do nervo facial é um tumor vascular raro e benigno, que corresponde a 0,7% dos tumores intratemporais. Apresentamos o segundo caso descrito na literatura de hemangioma do nervo facial em sua porção timpânica. Paciente de 14 anos, sexo masculino, apresentando hipoacusia progressiva em orelha direita com mímica facial preservada. A audiometria evidenciou perda condutiva moderada à direita. A ressonância magnética demonstrou lesão expansiva, comprometendo o segmento timpânico do nervo facial direito, sugestiva de hemangioma do nervo facial. A conduta foi expectante. No primeiro caso descrito na literatura de hemangioma do facial em orelha média, o sintoma que levou o paciente ao atendimento médico foi paralisia facial. No presente caso, pode-se inferir que o primeiro sintoma foi a perda auditiva condutiva ipsilateral à lesão. A paralisia facial pode não estar presente, e o quadro clínico pode se assemelhar à otosclerose, disjunção de cadeia e síndrome da terceira janela, dentre outros diagnósticos diferenciais de perdas auditivas condutivas. O artigo relata o segundo caso de hemangioma do nervo facial em sua porção timpânica, mostrando a peculiaridade de perda auditiva condutiva como única manifestação clínica.
Palavras-chave: Hemangioma; Nervo facial; Orelha média
1.595

