einstein (São Paulo). 01/Jul/2011;9(3):350-3.
Analysis of the action of Himatanthus drasticus in progression of urethane-induced lung cancer in mice
DOI: 10.1590/S1679-45082011AO2013
ABSTRACT
Objective:
To evaluate the effect of janaguba in inhibiting the development of lung cancer in an experimental urethane-induced model.
Methods:
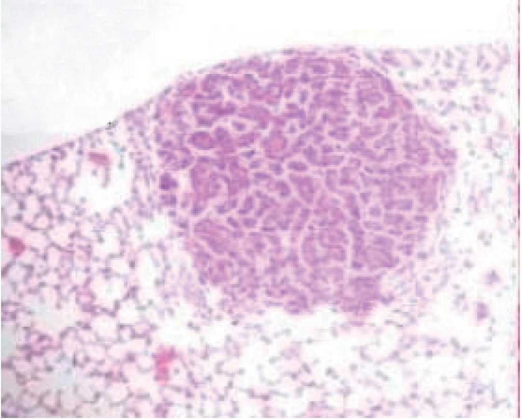
a total of 3mg/kg urethane was injected in 51 Balb-C mice aged 7-13 weeks of life. Janaguba was administered orally daily in two doses: 0.04 mL (Group 2, G2) and 0.06 mL (Group 3, G3), for 20 weeks. After this period, the mice were sacrificed and the number of lesions counted.
Results:
The mean weight of Group 2 was lower than that of Group 3, and that of Group 1 (Control, G1) (G1 = 35.533 g; G2 = 33.359 g; G3 = 37.125 g). The number of nodules did not differ between groups (mean G1 = G2 = G3 = 1; p = 0.88).
Conclusion:
Janaguba had an effect on the growth of mice, but had no influence on the progression of lung cancer in this model.
Keywords: Lung neoplasms; Mice; Urethane; Phytotherapy, experimental
294

