5 results
01/Apr/2015
DOI: 10.1590/S1679-45082015RW3154
ABSTRACT Heart transplantation is currently the definitive gold standard surgical approach in the treatment of refractory heart failure. However, the shortage of donors limits the achievement of a greater number of heart transplants, in which the use of mechanical circulatory support devices is increasing. With well-established indications and contraindications, as well as diagnosis and treatment of rejection through defined protocols of immunosuppression, the outcomes of heart transplantation are very favorable. Among early complications that can impact survival are primary graft […]
Keywords: Graft rejection; Heart transplantation; Heart transplantation/adverse effects; Infections
01/Apr/2015
DOI: 10.1590/S1679-45082015RW3147
ABSTRACT Given the shortage of organs transplantation, some strategies have been adopted by the transplant community to increase the supply of organs. One strategy is the use of expanded criteria for donors, that is, donors aged >60 years or 50 and 59 years, and meeting two or more of the following criteria: history of hypertension, terminal serum creatinine >1.5mg/dL, and stroke as the donor´s cause of death. In this review, emphasis was placed on the use of donors with acute […]
Keywords: Delayed graft function; Graft survival; Kidney transplantation; Renal insufficiency; Tissue donors
01/Apr/2015
DOI: 10.1590/S1679-45082015RW3156
ABSTRACT Lung transplantation is a globally accepted treatment for some advanced lung diseases, giving the recipients longer survival and better quality of life. Since the first transplant successfully performed in 1983, more than 40 thousand transplants have been performed worldwide. Of these, about seven hundred were in Brazil. However, survival of the transplant is less than desired, with a high mortality rate related to primary graft dysfunction, infection, and chronic graft dysfunction, particularly in the form of bronchiolitis obliterans syndrome. […]
Keywords: Brazil; Lung transplantation; Lung transplantation/contraindications; Survivorship (Public Health)
01/Apr/2015
01/Apr/2015
DOI: 10.1590/S1679-45082015RW3163
ABSTRACT Vascularized pancreas transplantation is the only treatment that establishes normal glucose levels and normalizes glycosylated hemoglobin levels in type 1 diabetic patients. The first vascularized pancreas transplant was performed by William Kelly and Richard Lillehei, to treat a type 1 diabetes patient, in December 1966. In Brazil, Edison Teixeira performed the first isolated segmental pancreas transplant in 1968. Until the 1980s, pancreas transplants were restricted to a few centers of the United States and Europe. The introduction of tacrolimus […]
Keywords: Diabetes mellitus; Immunosuppression; Pancreas transplantation; Renal insufficiency
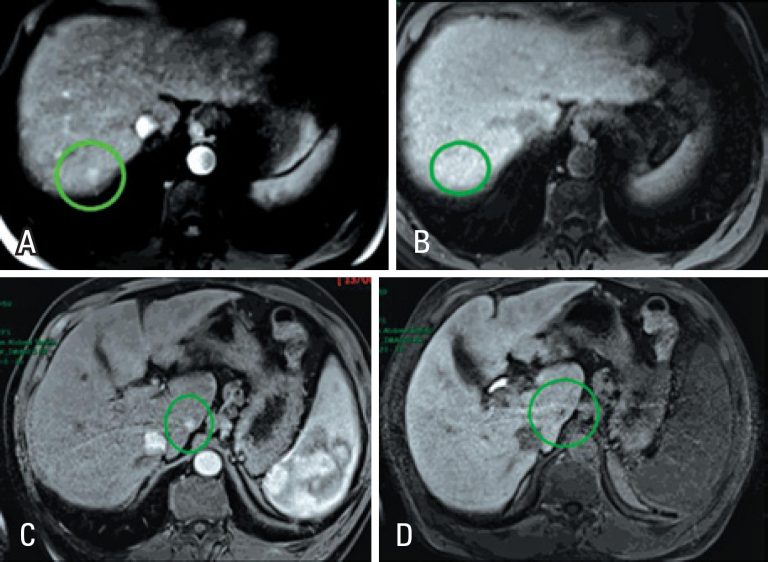
01/Apr/2015
DOI: 10.1590/S1679-45082015RW3159
ABSTRACT The hepatobiliary-specific contrast medium (gadoxetic acid – Primovist®) is primarily used to improve detection and characterization of focal hepatic lesions, such as in chronic liver disease patients with suspected hepatocellular carcinoma. Since the contrast medium is selectively taken up by functioning hepatocytes in the late hepatobiliary phase, it helps to detect typical hepatocellular carcinoma, which show low signal intensity on this phase. This imaging feature also assists in differentiating regenerative/dysplastic nodules from early hepatocellular carcinomas (with over 90% accuracy), […]
Keywords: Carcinoma, hepatocellular/diagnosis; Contrast media/utilization; Liver diseases/diagnosis; Liver neoplasms/diagnosis; Magnetic resonance imaging/methods