13/Nov/2025
Effect of simplified exercise program on quality of life, biomarkers, pain and muscle strength of individuals with knee osteoarthritis
DOI: 10.31744/einstein_journal/2025AO1192
Highlights ■ The exercise program reduced the WOMAC score by 50%, VAS score by 53%, and improved isokinetic strength. ■ There were no significant changes in levels of serum COMP, MMPs, or pro-inflammatory cytokines. ■ Biomarker levels did not correlate with clinical improvement outcomes. ■ This exercise program is feasible for knee osteoarthritis management in primary care. ABSTRACT Objective: To evaluate a simplified exercise program for patients with knee osteoarthritis in terms of pain, functionality, muscle strength, and quality of […]
Keywords: Biomarkers; Exercise therapy; Muscle strength; Osteoarthritis, knee; Pain measurement; Quality of life
14/Mar/2025
Are changes in physical activity associated with depression? A follow-up study of 1,950 individuals
DOI: 10.31744/einstein_journal/2025AO1128
Highlights ■ Persistently active individuals have strong independent protective factors against depression. ■ BMI (kg/m2) is an independent risk factor for depression. ■ Individuals with depression at follow-up were older than those without depression. ■ Perceived stress is a strong independent risk factor for depression. ABSTRACT Objective: To evaluate the association between changes in physical activity and depression in 1,950 Brazilians. Methods: This follow-up study included 1,950 Brazilians, aged ≥18 years, of both sexes, who participated in a health screening […]
Keywords: Depression; Exercise; Exercise therapy; Lifestyle; Sedentary behavior; Surveys and questionnaires
10/Mar/2025
Barriers to cardiac rehabilitation and their association with hospital readmission in patients with heart failure
einstein (São Paulo). 10/Mar/2025;23:eAO0713.
View Article10/Mar/2025
Barriers to cardiac rehabilitation and their association with hospital readmission in patients with heart failure
DOI: 10.31744/einstein_journal/2025AO0713
Highlights ■ Barriers to rehabilitation: high inactivity rates (88.4%) and significant barriers, such as fatigue and lack of awareness, hinder recovery. ■ Professional supervision: only 1% of patients were enrolled in formal cardiac rehabilitation; however, those who received professional supervision experienced lower readmission rates (14.6% versus 35.1%). ■ Systematic gaps: addressing systemic gaps, such as coverage and referral to rehabilitation programs, is critical for improving patient outcomes and reducing rehospitalization rates. ABSTRACT Objective: This study assessed the barriers to cardiac […]
Keywords: Cardiac rehabilitation; Cardiac Rehabilitation Barriers Scale; Coronary disease; Exercise; Exercise therapy; Heart failure; Hospitalization; Patient discharge; Self management; Surveys and questionnaires
21/Nov/2018
Effect of auditory-motor training on auditory processing of school children
DOI: 10.31744/einstein_journal/2018AO4359
ABSTRACT Objective To compare performance in Avaliação Simplificada do Processamento Auditivo Central and Scale of Auditory Behaviors scores before and after auditory and motor training. Methods Sample comprising 162 children aged 9 to 11 years and attending public schools in the city of São Paulo (SP), Brazil; 122 out of 162 children were allocated to one of three experimental groups: Multisensory; Auditory/Motor and Motor/Auditory. Experimental groups were submitted to 8 hours of auditory, visuospatial and motor stimulation over the course […]
Keywords: Auditory perception; Child; Exercise therapy; Hearing disorders; Neuronal plasticity; Physical stimulation
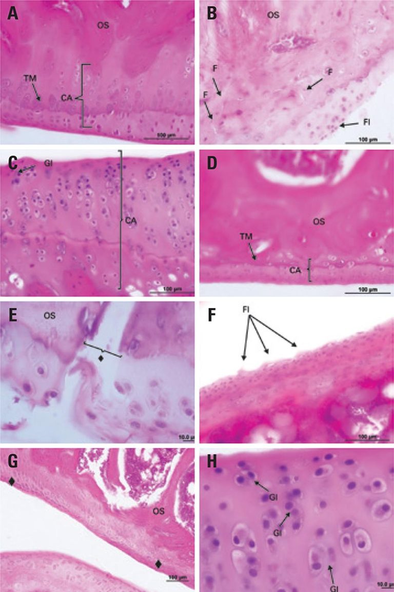
01/Oct/2015
Effects of physical exercise on the cartilage of ovariectomized rats submitted to immobilization
DOI: 10.1590/S1679-45082015AO3418
ABSTRACT Objective To analyze the effects of physical exercise on cartilage histomorphometry in osteoporosis-induced rats subjected to immobilization. Methods We used 36 Wistar rats that were separated into six groups: G1, G2 and G3 submitted to pseudo-oophorectomy, and G4, G5 and G6 submitted to oophorectomy. After 60 days at rest, G2, G3, G5 and G6 had the right hind limbs immobilized for 15 days, followed by the same period in remobilization, being free in the box to G2 and G5, […]
Keywords: Exercise therapy; Immobilization; Osteoporosis; Physical therapy modalities; Rats, Wistar
