einstein (São Paulo). 03/Oct/2025;23:eAI01383.
Vicarious contrast media excretion: the bloody effusion Doppelgänger
DOI: 10.31744/einstein_journal/2025AI1383
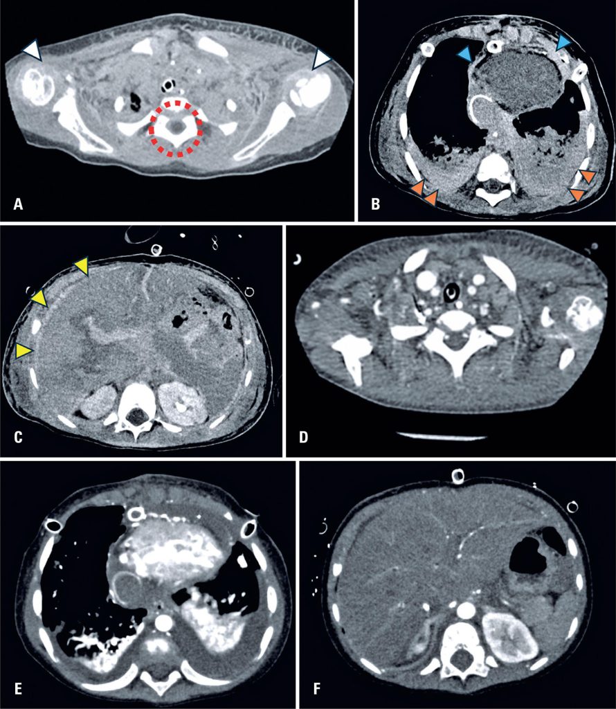
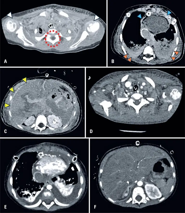
A 3-year-old boy was admitted to the hospital with decompensated congenital heart disease, hypotension (serum lactate: 100mg/dL), and acute renal failure (serum creatinine: 3.54mg/dL). Hemodynamic angiography was performed to assess cardiac pressures with a volume of 120 mL at a rate of 15 mL/s of iodinated contrast. Approximately 4 h later, the patient underwent a chest computed tomography (CT) scan using a 320-section scanner without intravenous injection of iodinated contrast or use of general anesthesia. Vicariant contrast excretion was observed in virtually all the body tissues (). Ten days later, after further evaluation using chest CT, these findings were no longer observed ().
The use of contrast media is well-established as a critical component in diagnostic and interventional radiology. Among the various types, iodine-based contrast media are most commonly used for diagnostic and therapeutic purposes, including CT evaluation, interventional procedures, and hemodynamics. These agents may be administered through several routes: intravenous, rectal, oral, or directly into the fistulous tract or biliary tree.
[…]
69

