einstein (São Paulo). 26/Nov/2020;18:eRC5606.
Transfusion-related acute lung injury associated to intravenous immunoglobulin infusion in a pediatric patient
DOI: 10.31744/einstein_journal/2020RC5606
ABSTRACT
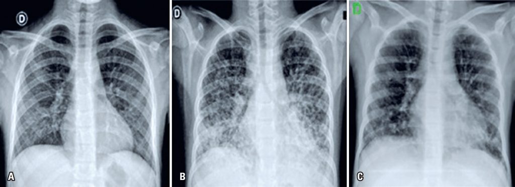
Case report of a patient with an immunodeficiency who demands regular replacement of intravenous immunoglobulin. She presented an episode of transfusion-related acute lung injury shortly after using an immunoglobulin product different than the one she usually received. The patient evolved with respiratory changes (hypoxia, dyspnea, change in pulmonary auscultation) minutes after the end of the infusion, and received non-invasive respiratory support. She was discharged after 36 hours with good outcome. The patient achieved full recovery, showing no further reactions in subsequent immunoglobulin infusions (no longer receiving the product that was used when she had the episode of transfusion-related acute lung injury). Although rare, this reaction is potentially serious and has no specific treatment other than supportive therapy. The literature is scarce regarding the risk of recurrence. The decision on whether to proceed with immunoglobulin therapy after this adverse effect should be analyzed individually, assessing the possible risks and benefits for the patient.
1,873

