einstein (São Paulo). 30/Oct/2020;18:eRC5409.
Squamous cell carcinoma implantation in gastrostomy orifice. Case report
DOI: 10.31744/einstein_journal/2020RC5409
ABSTRACT
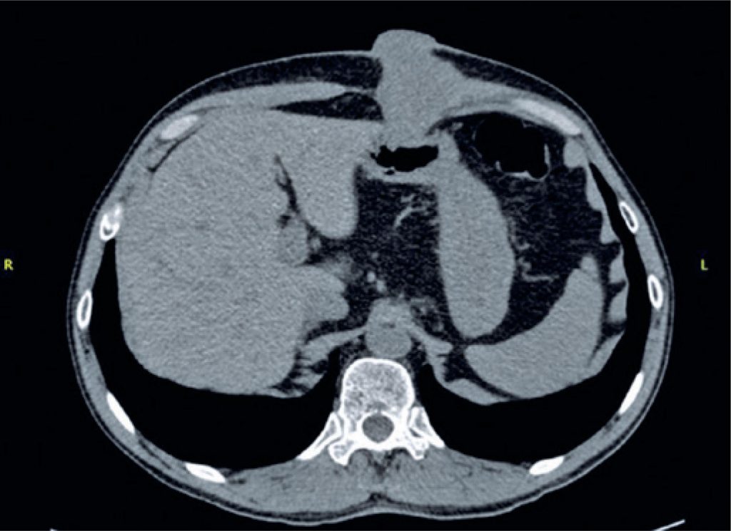
Percutaneous endoscopic gastrostomy is used to provide enteral nutritional support for patients with obstructive oropharyngeal or esophageal neoplasms. The placement of the catheter is considered safe, with few complications. Despite this, a specific complication that is considered rare, has been increasingly described in the literature, i.e., metastasis of head and neck cancer in the gastrostomy stoma. In this report, we described a case of metastasis of squamous cell carcinoma of the larynx in the gastrostomy site, and discussed the possible etiologies and alternatives, seeking to reduce the incidence of this complication.
474

