The journal einstein (São Paulo) – e-ISSN 2317-6385 is dedicated to dissemination of high-quality scientific content that advances our understanding of human disease with the goal of improving prevention, care, diagnostics and treatment of patients globally.
The authors present a case of Osteogenesis Imperfecta, emphasizing the clinical and epidemiological characteristics, forms of classification and treatment of the disease. This is an important case not only to the knowledge of pediatricians and orthopedists, but also for other professionals involved with the problem. This article has been jointly described by the Departments of Pediatrics and Neonatology of the Girassol Clinic in Luanda Capital of the Republic of Angola, Africa.
BastosF, PerezLT, NarváesCPL, CostaO, SilvaRCS, Van-DunemJCVD, MirandaSMRN, et al. Severe osteogenesis imperfecta: case report. Einstein (São Paulo) 2010;8(4 Pt 1):480-2. https://doi.org/10.1590/S1679-45082010RC1863
Bastos,Fernando; Perez,Liliana Thaureaux; Narváes,Caridad Ponce de León; Costa,Olívia; Silva,Rui Carlos Souto da; Van-Dunem,Joaquim Carlos Vicente Dias; Miranda,Sandra Maria da Rocha Neto de; Cordeiro,Lemuel Bornelli; Maia,Patrícia Conceição Silvia; Airosa,Leonídia de Fátima Lopes Marques; Menezes,Aida de. Severe osteogenesis imperfecta: case report. Einstein (São Paulo), v. 8, n. 4 Pt 1, p. 480-482, Oct. 2010. https://doi.org/10.1590/S1679-45082010RC1863
Bastos,F., Perez,L.T., Narváes,C.P.L., Costa,O., Silva,R.C.S. , Van-Dunem,J.C.V.D., Miranda,S.M.R.N. , Cordeiro,L.B., Maia,P.C.S., Airosa,L.F.L.M., & Menezes,A. (2010). Severe osteogenesis imperfecta: case report. Einstein (São Paulo),8(4 Pt 1), 480-482. https://doi.org/10.1590/S1679-45082010RC1863
Bastos,Fernando and Perez,Liliana Thaureaux and Narváes,Caridad Ponce de León and Costa,Olívia and Silva,Rui Carlos Souto da and Van-Dunem,Joaquim Carlos Vicente Dias and Miranda,Sandra Maria da Rocha Neto de and Cordeiro,Lemuel Bornelli and Maia,Patrícia Conceição Silvia and Airosa,Leonídia de Fátima Lopes Marques and Menezes,Aida de. Severe osteogenesis imperfecta: case report. Einstein (São Paulo) [online]. 2010, vol. 8, n. 4 Pt 1, [cited 2026-05-08], pp.480-482. Available from: <https://journal.einstein.br/article/severe-osteogenesis-imperfecta-case-report/>. ISSN 1679-4508. https://doi.org/10.1590/S1679-45082010RC1863
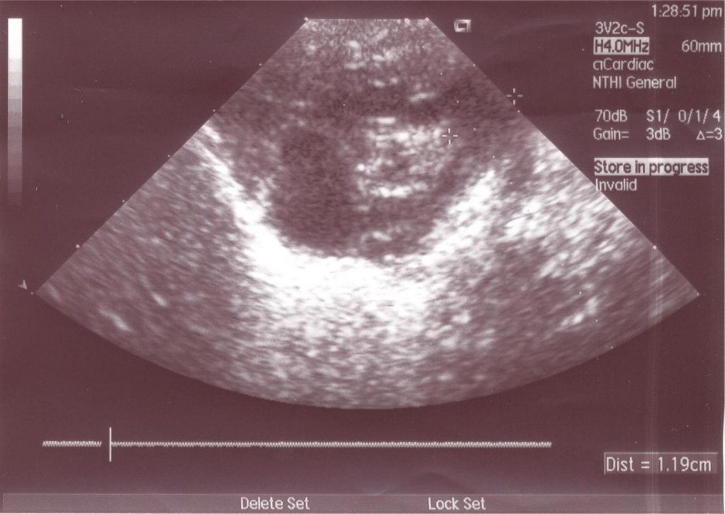
Figure 3
Ostium Secundum atrial septal defect and increase of AD and pulmonary artery trunk dilated.