A revista einstein (São Paulo) - e-ISSN 2317-6385 é dedicada à divulgação de conteúdo científico de alta qualidade para o avanço da nossa compreensão das doenças humanas e com o objetivo de melhorar a prevenção, o cuidado, o diagnóstico e o tratamento de pacientes em todo o mundo.
Os autores apresentam um caso clínico de Osteogenesis Imperfecta, dando ênfase às características clínicas, epidemiológicas, formas de classificação e tratamento da doença. Trata-se de um caso clínico importante para o conhecimento não só de pediatras e ortopedistas, mas também de outros profissionais envolvidos com o problema. O artigo foi descrito juntamente dos Serviços de Pediatria e de Neonatologia da Clínica Girassol, em Luanda, Capital da República de Angola, África.
Osteogênese imperfecta na forma grave: relato de caso
BastosF, PerezLT, NarváesCPL, CostaO, SilvaRCS, Van-DunemJCVD, MirandaSMRN, et al. Osteogênese imperfecta na forma grave: relato de caso. Einstein (São Paulo) 2010;8(4 Pt 1):480-2. https://doi.org/10.1590/S1679-45082010RC1863
Bastos,Fernando; Perez,Liliana Thaureaux; Narváes,Caridad Ponce de León; Costa,Olívia; Silva,Rui Carlos Souto da; Van-Dunem,Joaquim Carlos Vicente Dias; Miranda,Sandra Maria da Rocha Neto de; Cordeiro,Lemuel Bornelli; Maia,Patrícia Conceição Silvia; Airosa,Leonídia de Fátima Lopes Marques; Menezes,Aida de. Osteogênese imperfecta na forma grave: relato de caso. Einstein (São Paulo), v. 8, n. 4 Pt 1, p. 480-482, out. 2010. https://doi.org/10.1590/S1679-45082010RC1863
Bastos,F., Perez,L.T., Narváes,C.P.L., Costa,O., Silva,R.C.S. , Van-Dunem,J.C.V.D., Miranda,S.M.R.N. , Cordeiro,L.B., Maia,P.C.S., Airosa,L.F.L.M., & Menezes,A. (2010). Osteogênese imperfecta na forma grave: relato de caso. Einstein (São Paulo),8(4 Pt 1), 480-482. https://doi.org/10.1590/S1679-45082010RC1863
Bastos,Fernando and Perez,Liliana Thaureaux and Narváes,Caridad Ponce de León and Costa,Olívia and Silva,Rui Carlos Souto da and Van-Dunem,Joaquim Carlos Vicente Dias and Miranda,Sandra Maria da Rocha Neto de and Cordeiro,Lemuel Bornelli and Maia,Patrícia Conceição Silvia and Airosa,Leonídia de Fátima Lopes Marques and Menezes,Aida de. Osteogênese imperfecta na forma grave: relato de caso. Einstein (São Paulo) [online]. 2010, vol. 8, n. 4 Pt 1, [cited 2026-05-11], pp.480-482. Available from: <https://journal.einstein.br/pt-br/article/osteogenese-imperfecta-na-forma-grave-relato-de-caso/>. ISSN 1679-4508. https://doi.org/10.1590/S1679-45082010RC1863
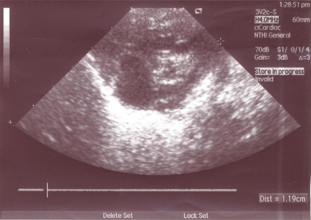
Figura 3
Defeito do septo atrial do tipo Ostium Secundum. Observa-se também aumento do AD e tronco da artéria pulmonar dilatado