The journal einstein (São Paulo) – e-ISSN 2317-6385 is dedicated to dissemination of high-quality scientific content that advances our understanding of human disease with the goal of improving prevention, care, diagnostics and treatment of patients globally.
Zygomycosis is an invasive disease that affects both immunocompetent and immunocompromised, depending on the type of strain. This disease diagnosis is clinical and histopathological, and its treatment is based on antifungal therapy and surgical cleaning. This paper reports a case of a boy with invasive zygomycosis rinofacial who final treatment was successful after underwent antifungal and surgical therapies.
SouzaJM, Sproesser JuniorAJ, Felippu NetoA, FuksFB, OliveiraCAC. Rhino facial zygomycosis: case report. Einstein (Sao Paulo). 2014;12(3):347-50. https://doi.org/10.1590/S1679-45082014RC2579
Souza,Juliana Miguita e; Sproesser Junior,Antonio José; Felippu Neto,Alexandre; Fuks,Florencia Barbero; Oliveira,Carlos Augusto Cardim de. Rhino facial zygomycosis: case report. Einstein (Sao Paulo)., v. 12, n. 3, p. 347-350, Aug. 2014. https://doi.org/10.1590/S1679-45082014RC2579
Souza,J.M. , Sproesser Junior,A.J., Felippu Neto,A., Fuks,F.B., & Oliveira,C.A.C. (2014). Rhino facial zygomycosis: case report. Einstein (Sao Paulo).,12(3), 347-350. https://doi.org/10.1590/S1679-45082014RC2579
Souza,Juliana Miguita e and Sproesser Junior,Antonio José and Felippu Neto,Alexandre and Fuks,Florencia Barbero and Oliveira,Carlos Augusto Cardim de. Rhino facial zygomycosis: case report. Einstein (Sao Paulo). [online]. 2014, vol. 12, n. 3, [cited 2026-04-04], pp.347-350. Available from: <https://journal.einstein.br/article/rhino-facial-zygomycosis-case-report/>. ISSN 1679-4508. https://doi.org/10.1590/S1679-45082014RC2579
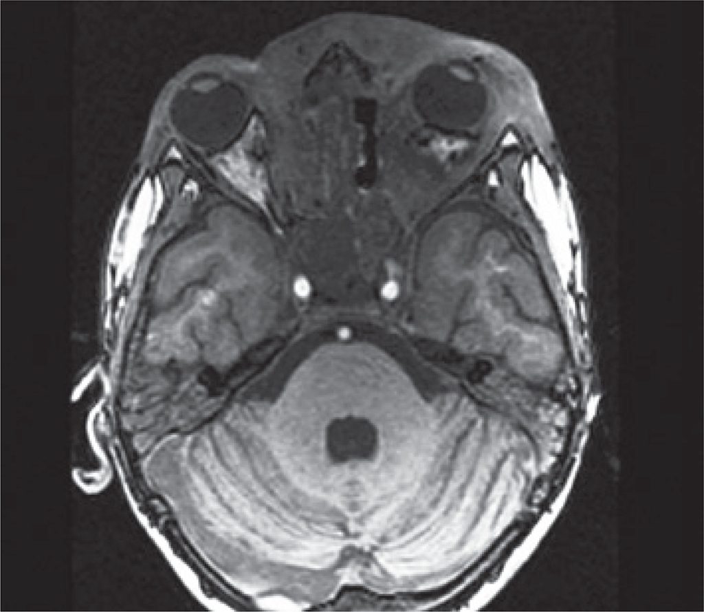
Figure 5
Decreased infiltrative lesion that affects the subcutaneous tissue, mainly in the left periorbital region and reduction of proptosis at the same side. Lesion reduction in nasopharynx, hypopharynx and sinuses, compared to previous images
Decreased infiltrative lesion that affects the subcutaneous tissue, mainly in the left periorbital region and reduction of proptosis at the same side. Lesion reduction in nasopharynx, hypopharynx and sinuses, compared to previous images