A revista einstein (São Paulo) - e-ISSN 2317-6385 é dedicada à divulgação de conteúdo científico de alta qualidade para o avanço da nossa compreensão das doenças humanas e com o objetivo de melhorar a prevenção, o cuidado, o diagnóstico e o tratamento de pacientes em todo o mundo.
A zigomicose é uma doença invasiva, que acomete tanto imunocompetentes como imunocomprometidos, dependendo do tipo da cepa. O diagnóstico é clínico e histopatológico, e o tratamento é baseado em antifúngico e em limpeza cirúrgica. O presente relato de caso é sobre um menino com zigomicose rinofacial invasiva com tratamento final bem-sucedido, após terapias antifúngicas e limpezas cirúrgicas.
SouzaJM, Sproesser JuniorAJ, Felippu NetoA, FuksFB, OliveiraCAC. Zigomicose rino facial: relato de caso. Einstein (Sao Paulo). 2014;12(3):347-50. https://doi.org/10.1590/S1679-45082014RC2579
Souza,Juliana Miguita e; Sproesser Junior,Antonio José; Felippu Neto,Alexandre; Fuks,Florencia Barbero; Oliveira,Carlos Augusto Cardim de. Zigomicose rino facial: relato de caso. Einstein (Sao Paulo)., v. 12, n. 3, p. 347-350, ago. 2014. https://doi.org/10.1590/S1679-45082014RC2579
Souza,Juliana Miguita e and Sproesser Junior,Antonio José and Felippu Neto,Alexandre and Fuks,Florencia Barbero and Oliveira,Carlos Augusto Cardim de. Zigomicose rino facial: relato de caso. Einstein (Sao Paulo). [online]. 2014, vol. 12, n. 3, [cited 2026-04-19], pp.347-350. Available from: <https://journal.einstein.br/pt-br/article/zigomicose-rino-facial-relato-de-caso/>. ISSN 1679-4508. https://doi.org/10.1590/S1679-45082014RC2579
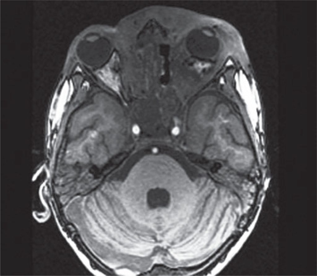
Figura 5
Diminuição da lesão infiltrativa que acomete o tecido subcutâneo, principalmente periorbitário esquerdo, e redução da proptose do mesmo lado. Redução da lesão na rinofaringe, hipofaringe e seios da face, em comparação com os anteriores
Diminuição da lesão infiltrativa que acomete o tecido subcutâneo, principalmente periorbitário esquerdo, e redução da proptose do mesmo lado. Redução da lesão na rinofaringe, hipofaringe e seios da face, em comparação com os anteriores