einstein (São Paulo). 01/Jan/2014;12(1):109-11.
Recurrence of acute myeloid leukemia in cryptorchid testis: case report
DOI: 10.1590/S1679-45082014RC2689
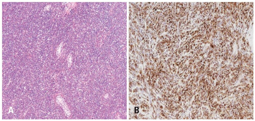
A 23-year-old male with a history of bone marrow transplant for acute myeloid leukemia. He presented a large mass in the right inguinal region 5 years ago. Upon physical examination, right-sided cryptorchidism was observed. The tumor markers alpha-fetoprotein and beta-HCG were within normalcy range and lactate dehydrogenase was raised. Computed tomography of the abdomen and pelvis revealed right testicular mass in contiguity with the inguinal canal to the ipsilateral retroperitoneum, associated with right hydronephrosis. Due to the risk of germ-cell tumor in undescended testicle, the patient underwent radical right orchiectomy. The pathological examination showed recurrence of acute myeloid leukemia in the testis. He was referred to oncology for adjuvant therapy. Our literature review found no similar cases described.
627

