einstein (São Paulo). 11/Sep/2018;16(3):eRC4254.
Percutaneous drainage of iliopsoas abscess: an effective option in cases not suitable for surgery
DOI: 10.1590/S1679-45082018RC4254
ABSTRACT
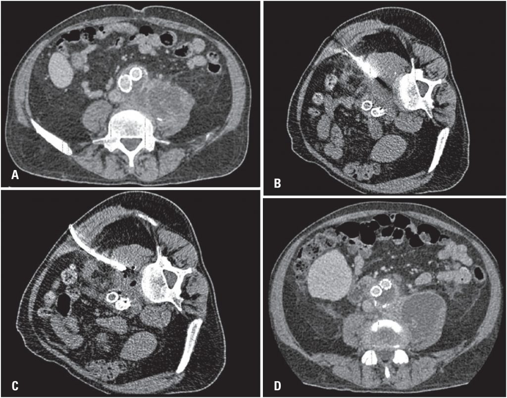
The aim of this study were to describe the technique of percutaneous drainage of iliopsoas abscess, and to discuss the benefits of using this minimally-invasive tool. A single center study with retrospective analysis of patients with psoas abscess confirmed by imaging scans, sent to the interventional medicine center and submitted to computed tomography and ultrasound-guided percutaneous drainage, from November 2013 to August 2016. Seven patients underwent percutaneous drainage of psoas abscess in this period. The mean initial drained volume was 61.4±50.7mL (ranging from 10 to 130mL), and the mean drainage duration was 8.3±2.8 days (ranging from 4 to 12 days). The success rate of the percutaneous procedures was 71.5%, and two patients required re-intervention. Image-guided percutaneous drainage of iliopsoas abscess is a minimally invasive, efficient and safe procedure, and an extremely valuable technique, especially for patients who are not suitable for surgical repair.
3,918

