einstein (São Paulo). 29/Oct/2012;10(3):306-11.
Pandemic influenza A/H1N1: comparative analysis of microscopic lung histopathological findings
DOI: 10.1590/S1679-45082012000300009
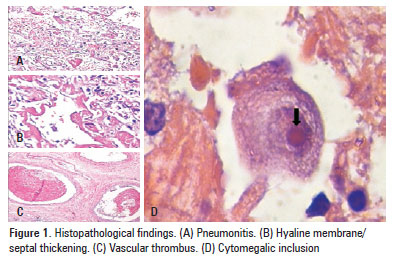
OBJECTIVE: To analyze the histopathological lung findings of four fatal cases of the 2009 H1N1 influenza pandemic and their correlation with clinical and epidemiological characteristics. METHODS: Descriptive data from medical records of four patients who died in the Intensive Care Unit of a university hospital in 2009. Nasopharyngeal aspirate specimens were collected from the patients and were analyzed by real-time polymerase chain reaction. Lung biopsy was performed post mortem; a score of intensity for pathological changes was applied. RESULTS: Three patients had positive real-time polymerase chain reaction (although all of them had a clinical diagnose of influenza H1N1). The main histopathological changes were: exudative diffuse alveolar damage with atelectasis; varying degrees of alveolar hemorrhage and edema, necrosis and sloughing of the respiratory epithelium in several bronchioli; and thrombus formation. One of the patients (the pregnant one) presented histopathological findings of cytomegalic inclusion. CONCLUSION: The pulmonary histopathological findings in patients with fatal 2009 H1N1 influenza pandemic disclosed intense alveolar damage and hemorrhage and severe bronchiolitis. A co-infection with cytomegalovirus was described in the pregnant patient.
355

