einstein (São Paulo). 01/Jul/2016;14(3):374-7.
Multiparametric magnetic resonance imaging findings of prostatic pure leiomyomas
DOI: 10.1590/S1679-45082016AO3715
ABSTRACT
Objective:
To describe the imaging findings of prostatic tumors nonadenocarcinoma on multiparametric magnetic resonance imaging.
Methods:
A total of 200 patients underwented multiparametric magnetic resonance imaging of the prostate for screening for prostate cancer, from August 2013 to September 2014, followed by biopsy with ultrasound/magnetic resonance imaging fusion.
Results:
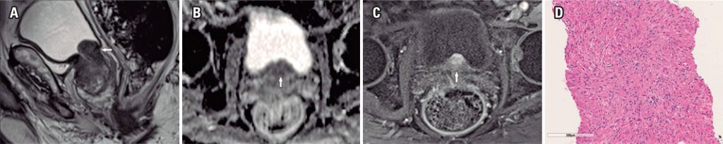
We found three pathologic proved cases of prostatic pure leiomyomas (0.02%) in our series and described the multiparametric magnetic resonance imaging features of these prostatic leiomyomas. The imaging findings had similar features to lesions with moderate or high suspicion for significant cancer (Likert 4 or 5) when localized both in the transitional zone or in the peripheral zone of the gland.
Conclusion:
Pure prostatic leiomyomas had imaging findings on multiparametric magnetic resonance imaging that mimicked usual adenocarcinomas on this test. Radiologists, urologists and pathologists must be aware of this entity and its imaging features.
Keywords: Prostate; Leiomyoma; Magnetic resonance imaging
1,279

