einstein (São Paulo). 13/May/2019;17(2):eRC4514.
Left ventricular noncompaction in a Para athlete
DOI: 10.31744/einstein_journal/2019RC4514
ABSTRACT
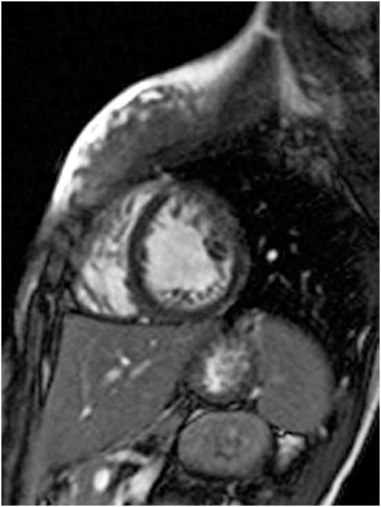
The left ventricular noncompaction is a congenital cardiomyopathy characterized by the presence of abnormal trabeculations in the left ventricle. The present study describes the case of a 14-year-old female Para athlete, who plays goalball. She was asymptomatic, with history of congenital nystagmus and mild visual impairment, who presented nonspecific electrocardiographic abnormalities during pre-competition screening. Cardiac magnetic resonance imaging showed left ventricular non-compaction (non-compacted to compacted layer ratio equal to 2.5) and mild biventricular systolic dysfunction. Initially, the patient was excluded from sports participation and clinical follow-up was performed every three months. Patient remained asymptomatic during the one-year follow-up, with no history of unexplained syncope, marked impairment of systolic function or significant ventricular arrhythmias at the exercise stress test. Finally, she was released for competitive goalball participation and clinical follow-up was continued every 6 months. There is no consensus regarding the eligibility criteria for sports participation in cases of left ventricular non-compaction. Thus, it is prudent to individualize the decision regarding practice of sports, as well as to consider participation in competitive sports for asymptomatic individuals and with no disease repercussions.
2,474

