einstein (São Paulo). 13/maio/2019;17(2):eRC4514.
Miocárdio não compactado em paratleta
DOI: 10.31744/einstein_journal/2019RC4514
RESUMO
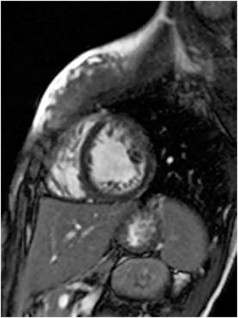
O miocárdio não compactado é uma cardiomiopatia congênita caracterizada pela presença de trabeculações anormais no ventrículo esquerdo. O presente estudo descreve o caso de uma paratleta de goalball, 14 anos, sexo feminino, assintomática, com história pessoal de nistagmo congênito e leve deficiência visual, que apresentou alterações eletrocardiográficas inespecíficas durante avaliação pré-participação. A ressonância magnética cardíaca evidenciou presença de não compactação miocárdica (relação entre camada não compactada/camada compactada igual a 2,5) e disfunção sistólica biventricular leve. Inicialmente, a paciente foi afastada da prática de esportes, e o seguimento clínico foi realizado a cada 3 meses. A paciente permaneceu assintomática durante o período de 1 ano de seguimento, sem história de síncope inexplicada, comprometimento significativo da função sistólica ou taquiarritmias ventriculares importantes ao teste de esforço. Por fim, ela foi liberada para prática competitiva de goalball, e o seguimento clínico foi mantido a cada 6 meses. Não há consenso quanto aos critérios de elegibilidade para a prática esportiva nos casos de miocárdio não-compactado. Assim, é prudente individualizar a decisão quanto a prática esportiva, bem como considerar a participação em esportes competitivos para indivíduos assintomáticos e sem repercussões da doença.
2.517

