einstein (São Paulo). 05/Jun/2017;15(3):1-2.
Incidental finding in a newborn with respiratory distress
DOI: 10.1590/S1679-45082017AI4001
A full-term 1-day-old male newborn was admitted to the neonatal intensive care unit due to respiratory distress and cyanosis. The sepsis screen was negative and he was diagnosed as transient tachypnea of the newborn. He required supplemental oxygen for the following days and the sepsis screen was repeated and was negative. He remained in respiratory distress, particularly during feeding, and was referred to a pediatric cardiologist.
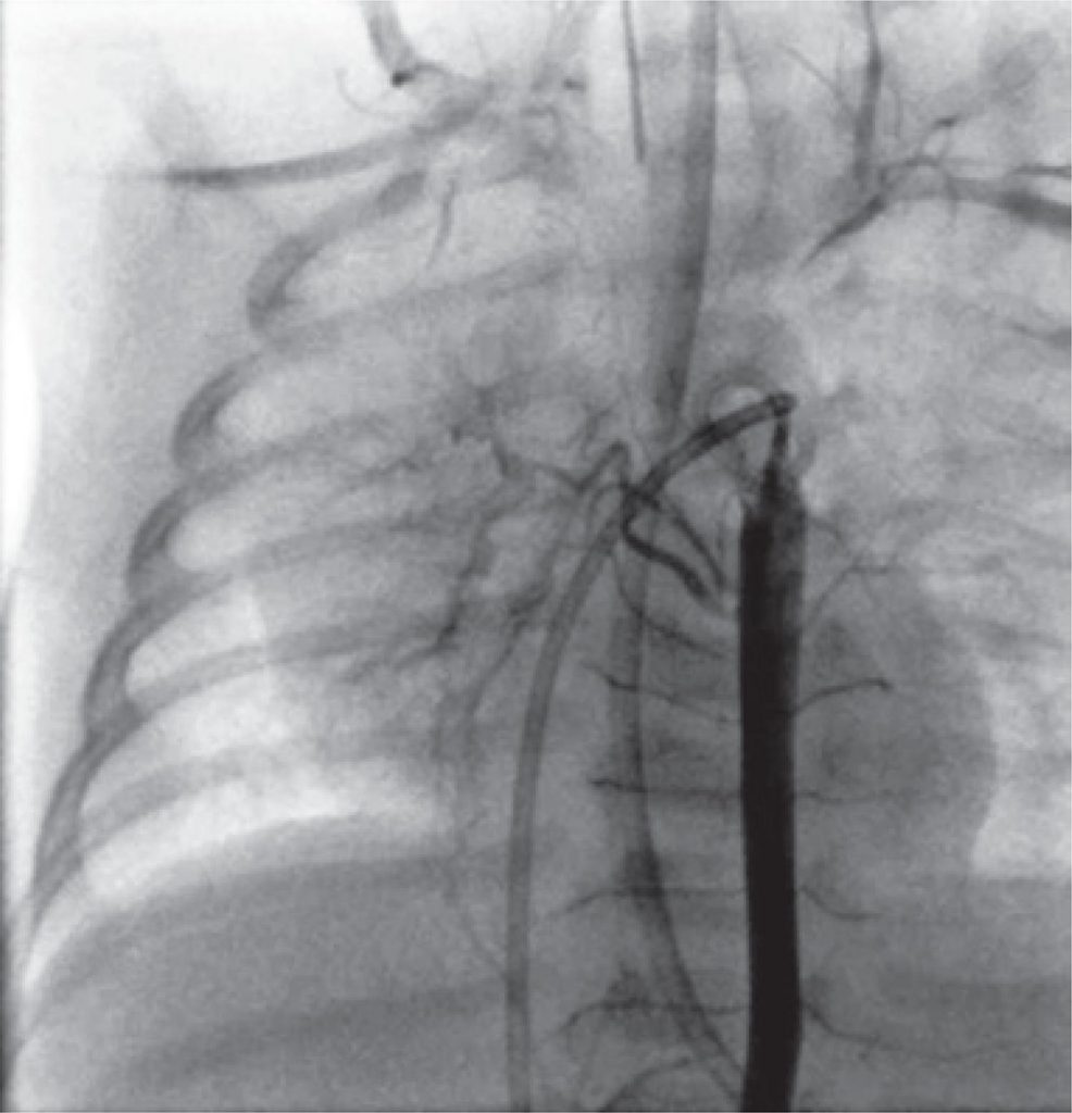
On transthoracic echocardiography, the heart appeared to be structurally and functionally normal. However the right pulmonary artery was not clearly evident. A computerized tomography angiography was performed to clarify this finding, but once again it was inconclusive. Nevertheless, hemitruncus and patent ductus arteriosus were ruled out. Subsequently he was catheterized and the pulmonary angiography showed agenesis of the right pulmonary artery (), ruling out occult pulmonary branch. The right lung was perfused by the bronchial arterial network () and no other anomalies were found.
[…]
712

