einstein (São Paulo). 29/Aug/2014;12(4):529-30.
Importance of cutaneous changes in the diagnosis of neurological diseases
DOI: 10.1590/S1679-45082014AI2931
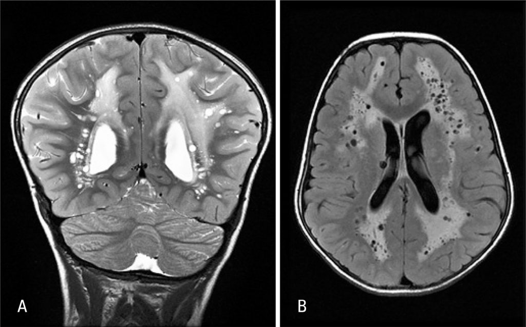
A previous healthy 7-year-old boy presenting occipital headache and constantly wake up at night with 1 week of evolution was admitted to our emergency service. He had linear hypopigmented macules along the lines of Blaschko affecting hemithorax and left upper limbs (). The patient also had macrocrania, antimongoloid palpebral fissure, changes in left eye pupil contour and syndactyly. A cranial computed tomography scan showed a hypodensity with accentuation of white matter and small cysts. Cranial resonance revealed an extensive process of leukoencephalopathy and multiple dilatations of perivascular spaces, being such findings rarely described in clinical feature of hypomelanosis of Ito (HI) ().
[…]
178

