einstein (São Paulo). 29/ago/2014;12(4):529-30.
Importância das alterações cutâneas no diagnóstico de doenças neurológicas
DOI: 10.1590/S1679-45082014AI2931
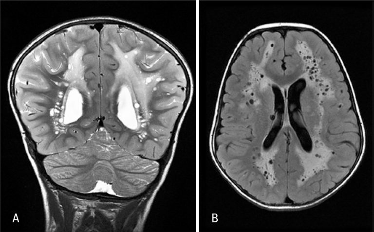
Criança de 7 anos, do gênero masculino, previamente saudável, recorreu ao serviço urgência por cefaleia occipital e despertar noturno com 1 semana de evolução. Apresentava manchas hipopigmentadas lineares segundo as linhas de Blaschko no hemitórax e membro superior esquerdos (); macrocrânia, fenda palpebral antimongoloide, alteração do contorno pupilar no olho esquerdo e sindactilia. Sem alterações no exame neurológico. A tomografia computorizada craniencefálica revelou acentuação da hipodensidade da substância branca e diminutas imagens quísticas. A ressonância encefálica evidenciou extenso processo de leucoencefalopatia e dilatações múltiplas de espaços perivasculares, achados raramente descritos no contexto clínico de hipomelanose de Ito (HI) ().
[…]
188

