einstein (São Paulo). 06/Apr/2018;16(1):eAO4065.
Evaluation of survivin immunoexpression in the differentiation of high- and low-grade breast ductal carcinoma in situ
DOI: 10.1590/S1679-45082018AO4065
ABSTRACT
Objective
To evaluate the expression of survivin protein in low- and high-grade ductal carcinoma in situ.
Methods
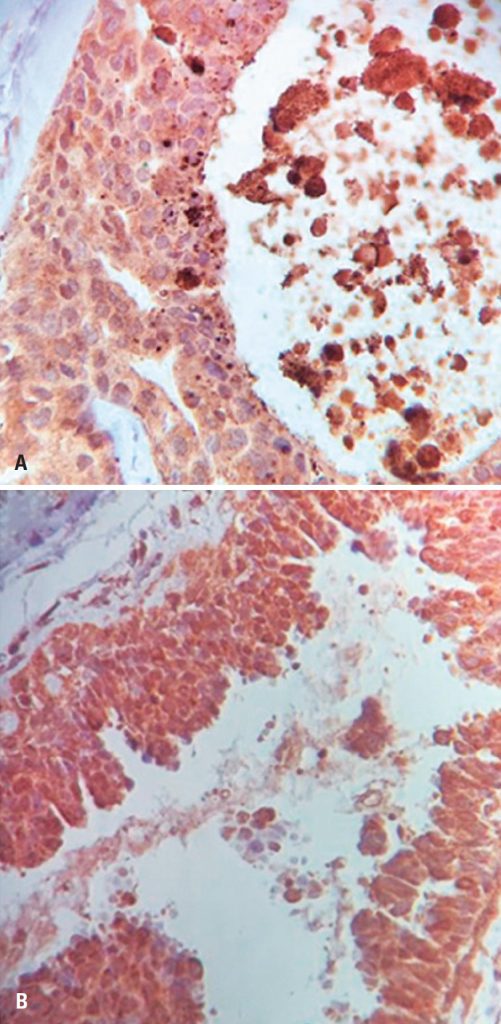
Breast tissue fragments obtained by incisional biopsy and surgical procedures of 37 women with ductal carcinoma in situ of the breast were subdivided into two groups: Group A, composed of women with low-grade ductal carcinoma in situ, and Group B, women with high-grade ductal carcinoma in situ. Survivin protein expression test was performed by immunohistochemistry, using a monoclonal antibody clone I2C4. The criterion to evaluate survivin immunoexpression was based on the percentage of neoplastic cells that presented brown-gold staining. This criterion was positive when the percentage of stained cells was ≥10%.
Results
The survivin protein was expressed in 22 out of 24 cases of high-grade ductal carcinoma in situ (78%), whereas, in Group A, of low-grade ductal carcinoma in situ (n=13), it was positive in only 6 cases (21.40%; p=0.004).
Conclusion
The frequency of expression of survivin was significantly higher in the group of patients with high-grade ductal carcinoma in situ compared to those in the low-grade ductal carcinoma in situ group.
929

