einstein (São Paulo). 23/May/2023;21:eRC0183.
Epipericardial fat necrosis as a differential diagnosis of acute chest pain: a case report and algorithm proposal for diagnostic approach
DOI: 10.31744/einstein_journal/2023RC0183
ABSTRACT
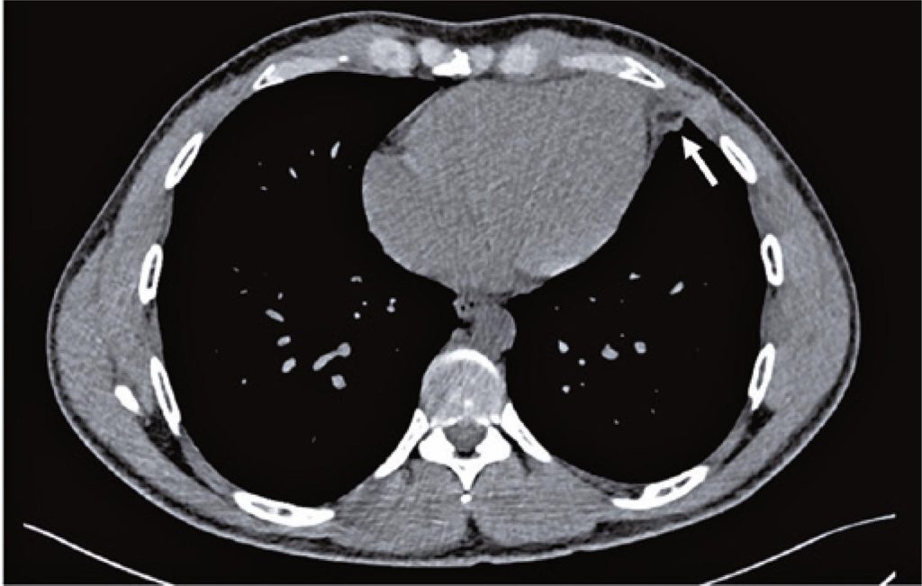
Chest pain is a frequent, potentially life-threatening condition in the emergency department and requires immediate investigation and treatment. This case report highlights a rare differential diagnosis of pleuritic chest pain: epipericardial fat necrosis. A 29-year-old man presented with normal clinical evaluation, electrocardiography, point-of-care ultrasound, and unremarkable laboratory tests. The initial hypothesis was acute pleuritis. Chest radiography revealed peri-cardiac nonspecific findings, and computed tomography revealed epicardial fat necrosis. Despite the rarity of this condition, accurate diagnosis allows for better practices. An algorithm for a diagnostic approach is proposed.
Keywords: Chest pain; Fat necrosis; Pericardium; Emergency medicine; Algorithms
300

