einstein (São Paulo). 01/Oct/2015;13(4):574-9.
Effects of physical exercise on the cartilage of ovariectomized rats submitted to immobilization
DOI: 10.1590/S1679-45082015AO3418
ABSTRACT
Objective
To analyze the effects of physical exercise on cartilage histomorphometry in osteoporosis-induced rats subjected to immobilization.
Methods
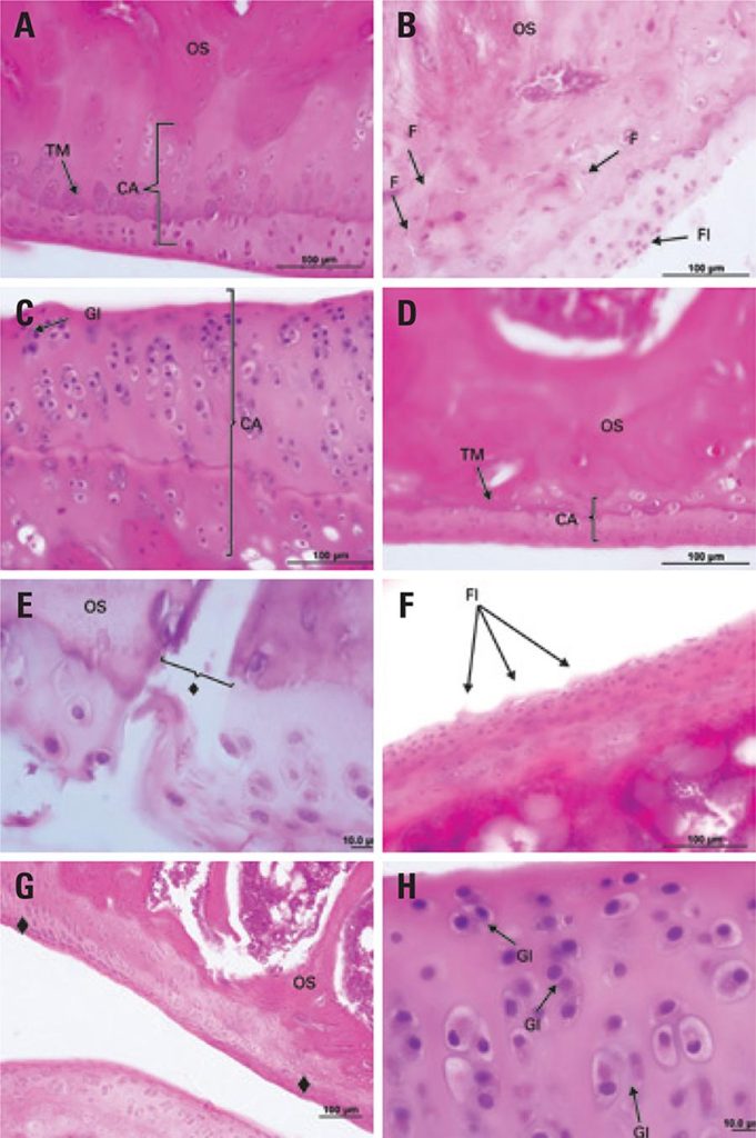
We used 36 Wistar rats that were separated into six groups: G1, G2 and G3 submitted to pseudo-oophorectomy, and G4, G5 and G6 submitted to oophorectomy. After 60 days at rest, G2, G3, G5 and G6 had the right hind limbs immobilized for 15 days, followed by the same period in remobilization, being free in the box to G2 and G5, and climb ladder to G3 and G6. At the end of the experiment, the rats were euthanized, their tibias bilaterally removed and submitted to histological routine.
Results
There was significant increase in thickness of the articular cartilage (F(5;29)=13.88; p<0.0001) and epiphyseal plate (F(5;29)=14.72; p<0.0001) as the number of chondrocytes (F(5;29)=5.11; p=0.0021) in ovariectomized rats, immobilized and submitted to exercise. In the morphological analysis, degeneration of articular cartilage with subchondral bone exposure, loss of cellular organization, discontinuity of tidemark, presence of cracks and flocculation in ovariectomized, immobilized and free remobilization rats were found. In ovariectomized and immobilized remobilization ladder rats, signs of repair of the cartilaginous structures in the presence of clones, pannus, subcortical blood vessel invasion in the calcified zone, increasing the amount of isogenous groups and thickness of the calcified zone were observed.
Conclusion
Exercise climb ladder was effective in cartilaginous tissue recovery process damaged by immobilization, in model of osteoporosis by ovariectomy in rats.
191

