The journal einstein (São Paulo) – e-ISSN 2317-6385 is dedicated to dissemination of high-quality scientific content that advances our understanding of human disease with the goal of improving prevention, care, diagnostics and treatment of patients globally.
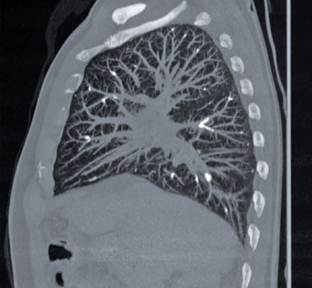
This was a 65-year-old male patient with cirrhosis who experienced sudden dyspnea and thoracic pain few hours after underwent endoscopic sclerotherapy of gastric and esophageal varices by cyanoacrylate solution injection and Lipiodol ® . The patient underwent computed tomography of the chest ( ).
[…]
Cyanoacrylate pulmonary embolism after endoscopic sclerotherapy of gastric varices
FrasseiJS, FrancoCS, BrambillaVR, LoureiroBMC, KiebertCS, FonsecaEKUN, AndoSM, et al. Cyanoacrylate pulmonary embolism after endoscopic sclerotherapy of gastric varices. Einstein (Sao Paulo). 2021;19:eAI5778. https://doi.org/10.31744/einstein_journal/2021AI5778
Frassei,Julliana dos Santos; Franco,Camila Soares; Brambilla,Vinicius Roeffero; Loureiro,Bruna Melo Coelho; Kiebert,Carolina dos Santos; Fonseca,Eduardo Kaiser Ururahy Nunes; Ando,Sabrina de Mello; Sawamura,Marcio Valente Yamada. Cyanoacrylate pulmonary embolism after endoscopic sclerotherapy of gastric varices. Einstein (Sao Paulo)., v. 19, eAI5778, Jan. 2021. https://doi.org/10.31744/einstein_journal/2021AI5778
Frassei,J.S., Franco,C.S., Brambilla,V.R., Loureiro,B.M.C., Kiebert,C.S., Fonseca,E.K.U.N., Ando,S.M., & Sawamura,M.V.Y. (2021). Cyanoacrylate pulmonary embolism after endoscopic sclerotherapy of gastric varices. Einstein (Sao Paulo).,19, eAI5778. https://doi.org/10.31744/einstein_journal/2021AI5778
Frassei,Julliana dos Santos and Franco,Camila Soares and Brambilla,Vinicius Roeffero and Loureiro,Bruna Melo Coelho and Kiebert,Carolina dos Santos and Fonseca,Eduardo Kaiser Ururahy Nunes and Ando,Sabrina de Mello and Sawamura,Marcio Valente Yamada. Cyanoacrylate pulmonary embolism after endoscopic sclerotherapy of gastric varices. Einstein (Sao Paulo). [online]. 2021, vol. 19, [cited 2026-05-13], eAI5778. Available from: <https://journal.einstein.br/article/cyanoacrylate-pulmonary-embolism-after-endoscopic-sclerotherapy-of-gastric-varices/>. ISSN 1679-4508. https://doi.org/10.31744/einstein_journal/2021AI5778
Figure 3
Tomography without contrast in sagittal section, in the mediastinum window, showing the same findings